- Akute Rhinosinusitis
Persönliche Anamnese
Bisher nie schwer krank, geimpft nach Schweizer Impfplan.
Medikation
Sinupret seit 14 Tagen.
Vitalparameter
Puls 96, regelmässig, SO2 98%
Temperatur: 38.3 °C.
Grösse 108 cm, Gewicht 18 kg
Klinischer Status
Munterer Knabe, etwas abgeschlagen. Auge links geschwollen und gerötet (Abb.1). Es kann fast nicht mehr geöffnet werden. Beim Öffnen der Lider mit den Fingern erkennen Sie reizlose Konjunktiven. Die Pupillen sind isokor. Der Visus ist grob geprüft unauffällig. Die Augenmotilität ist erhalten, jedoch schmerzhaft. Kein Meningismus.
Fragen
1. Was vermuten Sie als Ursache der Augenschwellung?
A. Insektenstich mit Superinfektion
B. Akute Dakryoadentitis
C. Akute Rhinosinusitis
D. fixiertes Arzneimittelexanthem auf Sinupret
Richtig ist Antwort C. Es liegt vermutlich eine orbitale Komplikation nach einer akuten Rhinosinusitis vor. Die Anamnese mit einem biphasischen Verlauf ist recht typisch dafür. Nachdem die akute Rhinosinusitis im Rahmen des akuten Infektes der oberen Luftwege bereits am Abklingen war, äussern sich nun in einem zweiten Schritt die Folgen der orbitalen Komplikation. Die vordere Rhinoskopie zeigt viel Eiter in der linken Nasenhaupthöhle und bestätigt Ihre Vermutung.
Vom klinischen Bild eines geschwollenen Auges links mit Rötung mehr des Oberlids als des Unterlids her käme gegebenenfalls auch eine akute Dakryoadenitis in Frage. Diese zeigt sich in der Regel als umschriebene Schwellung und Rötung im lateralen Drittel des Oberlids. In unserem Fall sprechen jedoch die Anamnese und der Befund der putriden Rhinorrhoe dagegen.
2. Welche diagnostischen und therapeutischen Massnahmen leiten Sie ein?
A. Schädel halbaxial-Röntgen, Infekt-Labor
B. Überweisung auf den Notfall eines Kinderspitals mit HNO-Abteilung
C. ambulante Therapie mit Amoxicillin/Clavulansäure hochdosiert, abschwellende Nasensprays, Kontrolle engmaschig am nächsten Tag
D. Rachenabstrich
Richtige Antwort ist B. Eine orbitale Komplikation einer akuten Rhinosinusitis bei einem vierjährigen Kind muss vordringlich bildgebend abgeklärt und danach adäquat behandelt werden. Ein konventionelles Röntgenbild (Schädel halbaxial) ist dafür obsolet. Eine ambulante Therapie wäre gegebenenfalls möglich bei einer beginnenden orbitalen Komplikation mit erst umschriebener Lidschwellung und fehlender intraorbitaler Ausbreitung.
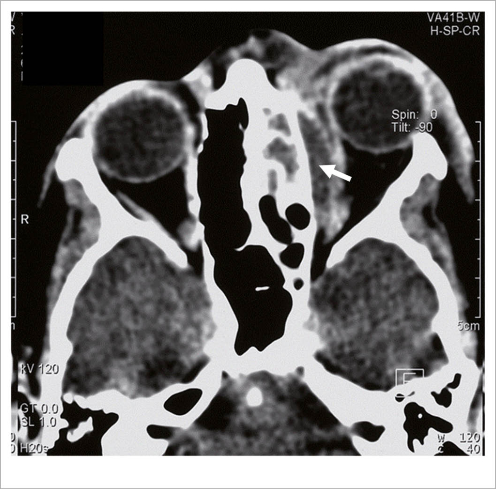
Unser Kind kann jedoch sein Auge nicht mehr aktiv öffnen und hat schmerzhafte Augenbewegungen, was für eine relevante orbitale Komplikation spricht. Und so zeigt die weitere notfallmässige Abklärung im Spital in der Computertomographie einen grossen Subperiostalabszess in der linken Orbita (Abb. 2). Der Abszess wird operativ entlastet und antibiotisch behandelt. Eine bleibende Schädigung des Auges kann vermieden werden.
Kindesalter treten vor allem orbitale Komplikationen auf, welche von den Sinus ethmoidales ausgehen. Dabei wandern die Bakterien durch die Lamina papyracea hindurch in die Orbita. Anschliessend bildet sich durch Abhebung der Periorbita der Subperiostalabszess aus. Unbehandelt können orbitale Komplikationen zu einer Erblindung oder zu einem lebensbedrohlichen aufsteigenden Infekt mit Sinus cavernosus-Thrombose und Meningitis führen.
Wenn mit zunehmender Pneumatisation im Alter von 10-12 Jahren die Stirnhöhlen ausgebildet sind, treten im Adoleszenten- und Erwachsenenalter zunehmend endokranielle Komplikationen der akuten bakteriellen Rhinosinusitis auf. Diese gehen von den Sinus frontales aus und äussern sich in Form einer sinugenen Meningitis oder eines Hirnabszesses.
Klinik für Hals-Nasen-Ohren- und Gesichtschirurgie (HNO)
Luzerner Kantonsspital
Spitalstrasse
6004 Luzern
christoph.schlegel@luks.ch
Der Autor hat keine Interessenkonflikte im Zusammenhang mit diesem Artikel deklariert.








