- Das akute Abdomen im Alter
Das akute Abdomen ist ein Schmerzkomplex, welcher durch plötzlichen Beginn, heftige Bauchschmerzen unklarer Ätiologie und rasche Verschlechterung des Allgemeinzustandes charakterisiert ist. In den meisten Fällen präsentiert sich das akute Abdomen als chirurgischer Notfall mit limitierter Zeit für Diagnostik und Therapie. Die Diagnose «akutes Abdomen» wird gerade auch in der Patientengruppe der älteren und alten Menschen zunehmend relevant, da durch Verbesserung von Lebensstandard und Gesundheitsversorgung die Anzahl älterer Patienten zunimmt. Demographische Daten für die Schweiz 2018 zeigen, dass 18.5 % der Bevölkerung älter als 65 Jahre sind (1). Mit zunehmender Lebenserwartung steigt also die Anzahl älterer Patienten, die sich aufgrund akuter Erkrankungen des Abdomens in den Notaufnahmen präsentieren.
Als Folge der demographischen Veränderungen in den meisten Industrieländern mit einer zunehmenden Anzahl älterer und alter Menschen nimmt folgerichtig auch die Anzahl von Patienten höheren Alters mit akuten abdominalen Beschwerden zu. Die Diagnose «akutes Abdomen» bei älteren Menschen ist nicht nur für den Hausarzt und alle Mitarbeiterinnen und Mitarbeiter der verschiedenen Pflegeeinrichtungen eine Herausforderung, sondern auch für den betreuenden Chirurgen. Hohes Lebensalter ist assoziiert mit einer hohen Inzidenz von meist internistischen Begleiterkrankungen, die − verstärkt durch eventuell vorliegende Einschränkungen kognitiver Fähigkeiten − häufig die klassische und klare Symptomatik akuter Erkrankungen des Abdomens verschleiern und somit die Diagnostik und Therapie verzögern (2). Neben alterstypischen Veränderungen der Körperphysiologie (Einschränkungen verschiedener Organsysteme, verringerte Wärmeproduktion, reduzierte Immunabwehr, reduzierte Wahrnehmung von Schmerzen) führt diese Verzögerung in Diagnostik und Therapie zu einer klar dokumentierten Erhöhung der Morbidität und Mortalität älterer und alter Menschen nach notfallchirurgischen Eingriffen (3). Speziell bei Notfall-Eingriffen im Rahmen eines akuten Abdomens müssen wir von einem Sterberisiko von 12% ausgehen (4).
Diagnostik
Eine detaillierte Anamnese, möglicherweise gestützt durch Fremdanamnese bei Einschränkungen der kognitiven Fähigkeiten oder sehr schlechtem Allgemeinzustand, und eine ordnungsgemässe körperliche Untersuchung sind auch bei älteren und alten Menschen die Grundlage der Diagnostik und somit von grosser Bedeutung.
Anamnese
- Symptome (Dauer, Lokalisation, Charakter, Ausstrahlung),
- Komorbiditäten
- abdominelle Voroperationen
- Medikation
Eine Besonderheit der Anamnese in der Notfallsituation bei älteren und alten Menschen ist die Diskussion über den Umfang der seitens des Patienten oder seiner Angehörigen akzeptierten therapeutischen Interventionen unter Berücksichtigung einer eventuell vorliegenden Patientenverfügung. Die Angst vor Verlust der Eigenständigkeit und Sorge vor dauerhafter Pflegebedürftigkeit sind nachvollziehbar und sollten thematisiert werden. Dies stellt hohe Ansprüche an die Gesprächsführung in der Notfallsituation, da zum einen die Sorgen und Wünsche der betroffenen Patienten und deren Familie empathisch wahrgenommen und berücksichtigt, zum anderen aber auch Sinn, Möglichkeit und Prognose sofortiger therapeutischer Interventionen realistisch dargestellt werden müssen.
Klinische Untersuchung
Die klinische Untersuchung muss in der Notfallsituation zügig und zielgerichtet durchgeführt werden. Neben der Erfassung der Körpertemperatur gehört die schnelle Inspektion des Abdomens zu den ersten Schritten der Untersuchung. Hier interessieren insbesondere das Vorhandensein alter Operationsnarben und die Beurteilung der Bruchpforten. Die Palpation des Abdomens ist bei bretthartem, hoch druckschmerzhaftem Abdomen nicht entscheidend und verursacht nur unnötige zusätzliche Schmerzen. Wenn möglich sollte auch eine digitorektale Untersuchung erfolgen.
Laborchemische Untersuchung
Durch alterstypische Veränderung der Körperphysiologie, Multimorbidität, Polypharmazie und eventuell verminderter Organfunktion wird die Unterscheidung zwischen «altersnormalen» und pathologischen Laborbefunden erschwert (5, 6). In der Notfallsituation ist ein rascher Überblick über die verschiedenen Organfunktionen sowie eine Einschätzung der aktuellen Entzündungssituation wichtig. Additiv kann die grundlegende kardiologische Labordiagnostik (Troponin, CK) zusätzliche Informationen liefern.
Radiologische Diagnostik
Ziel der radiologischen Diagnostik muss es sein, die zeitliche Verzögerung bis zur Diagnose möglichst gering zu halten, um rasch die notwendigen therapeutischen Interventionen einleiten zu können. Bei der klinischen Diagnose eines akuten Abdomens kann auf die Durchführung einer konventionellen radiologischen Diagnostik verzichtet werden (7). Die Computertomographie des Abdomens mit Kontrastmittel ist der Goldstandard der Diagnostik und stellt die Weichen für das weitere Vorgehen (8).
Häufige Ursachen für das akute Abdomen im Alter
Die Ursachen für das akute Abdomen im Alter entsprechen im weitesten den allseits bekannten Diagnosen, wobei im Besonderen auch vaskuläre Ursachen in die Überlegungen mit einbezogen werden müssen. Bezogen auf die primäre Schmerzlokalisation ergeben sich wie in Abb. 2 dargestellt, eine Reihe von unterschiedlichen Diagnosen. Im Folgenden werden die wichtigsten viszeralchirurgischen Ursachen des akuten Abdomens beim alten Menschen kurz dargestellt:
Akute Appendizitis
Die akute Appendizitis ist bei älteren Patienten mit akuten Bauchschmerzen seltener als bei jüngeren Patienten, wobei allerdings Morbiditäts- und Mortalitätsraten höher sind (Abb.3). Zwischen 5 und 10 % der Fälle von Appendizitiden treten bei Menschen über 65 Jahren mit einer Mortalität von 10-20 % und einer Morbidität von 30-60 % auf. Dafür ursächlich sind alterstypische Komorbiditäten sowie häufig eine Therapieverzögerung durch atypische Symptome mit dadurch bedingt höherer Perforationsrate (9, 10).
Akute Darmobstruktion (Ileus)
Die Kardinalsymptome des Ileus sind abdominale Schmerzen, Erbrechen und Stuhlverhalt. Die Unterscheidung zwischen paralytischem und mechanischem Ileus ist entscheidend für einen korrekten Behandlungsansatz. Der mechanische Ileus betrifft den Dünndarm viermal häufiger als den Dickdarm und ist in der Regel durch Verwachsungen (65 %) oder eine inkarzerierte Hernie (15 %), verursacht. Für einen Dickdarmileus sind meist Tumorerkrankungen, Verwachsungen oder Stenosen nach rezidivierender Divertikulitis (bis zu 10 %) verantwortlich (11). Bei älteren bettlägerigen Menschen ist ein paralytischer Ileus als Nebenwirkung einer regelmässigen analgetischen Therapie (Opiaten) zu berücksichtigen (12).
Akute Divertikulitis
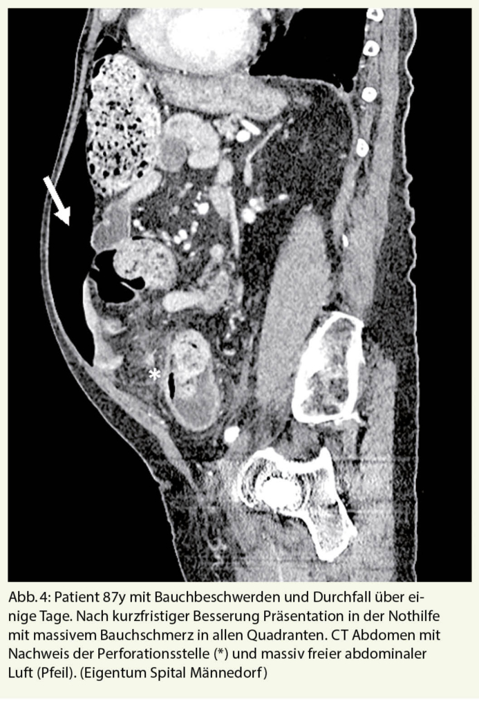
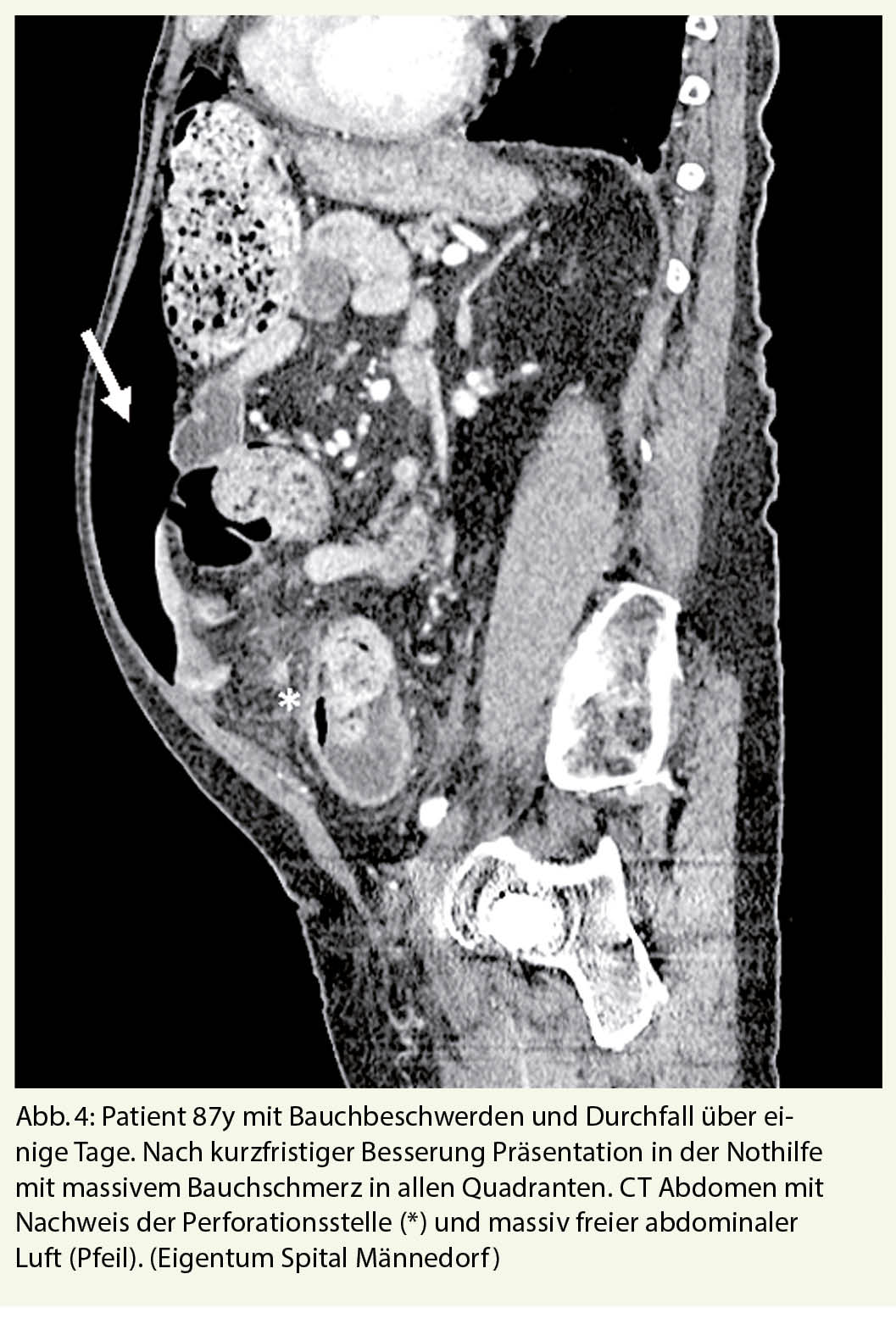
Die akute Divertikulitis des Dickdarms ist eine der häufigsten Erkrankungen, die zu einer Einweisung in den Notfall führen. Bei mehr als 50 % der über 65-Jährigen liegt eine Divertikulose vor, aus der in 10-25% eine akute Divertikulitis entstehen kann (13, 14). Auch bei einer perforierten Divertikulitis können typische Schmerzen im linken Unterbauch mit Abwehrspannung fehlen, so dass auch hier nur eine Computertomographie des Abdomens zur Klärung der Situation beiträgt. Nicht selten präsentieren sich ältere, immungeschwächte Patienten primär mit einer frei perforierten Sigmadivertikulitis, die mit einer massiven eitrigen Peritonitis und entsprechend hoher perioperativer Letalität einhergehen kann (Abb. 4)
Gastroduodenale Ulzera
Bekannte Ursachen eines Ulcus ventriculi et duodeni sind eine Infektion der Schleimhaut mit Helicobacter pylori sowie die Medikation mit NSAR oder Kortikosteroiden. Das akute Abdomen auf dem Boden eines Ulkus kann zum einen durch eine Perforation mit freier abdominaler Luft und Peritonitis, zum anderen durch eine akute, anämisierende obere gastrointestinale Blutung entstehen. Diese ist mit einer hohen Letalitätsrate bei älteren Menschen assoziiert (15).
Akute Cholezystitis
Bei älteren Menschen können die typischen Symptome einer akuten Cholezystitis auf dem Boden einer Cholezystolithiasis fehlen und sämtliche Laborparameter normal sein. Nichtsdestotrotz sind auch hier eine rasche Diagnostik und zeitnahe chirurgische Therapie indiziert. Nicht selten entwickelt sich bei Verzögerung der Operation eine komplizierende, gangränöse Cholezystitis, gelegentlich bis hin zur Gallenblasenperforation (16).
Darmischämie
Die akute mesenteriale Ischämie als Ursache eines akuten Abdomens ist seltener und wird daher gelegentlich erst spät oder gar nicht diagnostiziert. Das typische Symptom des akuten abdominalen Vernichtungsschmerzes begleitet von Übelkeit und Erbrechen kann fehlen, so dass eine frühzeitige Diagnose oft unmöglich ist. Eine mesenteriale Ischämie sollte bei jedem Patienten > 50 Jahre mit bekannten Risikofaktoren oder einer prädisponierenden Erkrankung (kardiovaskuläre Erkrankungen, Herzinsuffizienz, Herzklappenfehler, Vorhofflimmern, St. n. Hertzinfarkt, TVT) in Betracht gezogen werden. Eine frühzeitige Diagnose ist entscheidend, da die Letalität bei bereits eingetretener Darmnekrose bei über 90 % liegt.
Rupturiertes AAA
Das führende Symptom bei einem rupturierten Aortenaneurysma ist der massive abdominale Schmerz mit Ausstrahlung in den Rücken, häufig assoziiert mit einem hämorrhagischen Volumenmangelschock. Nur etwa 50% der Patienten erreichen lebend das Spital, die posttherapeutische Letalität ist mit über 50% beeindruckend hoch (17). Der entscheidende Faktor für das Überleben des Patienten ist die rasche Einleitung der Therapie in einem Zentrum.
Therapie
Die Behandlung des akuten Abdomens ist in den meisten Fällen operativ (18). Wichtige Entscheidungshilfen für Art und Umfang der chirurgischen Therapie sind der klinische Zustand des Patienten, Alter und Komorbiditäten. Die Art der Therapie sollte sich allerdings nicht primär am technisch Machbaren orientieren. Vielmehr ist es notwendig, eine individuelle Lösung unter Berücksichtigung des Patientenwillens (und eventuell des Angehörigenwunsches), der Schwere und Prognose der Erkrankung, der Invasivität der Therapie und der Erfolgschancen der angedachten chirurgischen Intervention zu finden. Zum Zeitpunkt der Indikationsstellung für eine chirurgische Intervention ist gelegentlich das genaue operative Vorgehen noch nicht klar, da die Diagnose erst intraoperativ gestellt werden kann. Somit sind die explorative Laparoskopie oder Laparotomie mit entsprechender Erweiterung des Eingriffs die Therapie der Wahl beim akuten Abdomen. Die Patienten müssen daher intensiv über eventuelle Konsequenzen des operativen Eingriffs aufgeklärt werden. Insbesondere die mögliche Anlage eines künstlichen Darmausganges muss im Vorfeld klar kommuniziert werden.
Eine wichtige Aufgabe des Chirurgen besteht in einer intensiven und umfänglichen postoperativen Betreuung. Hierzu gehört auch, im Falle einer Verschlechterung der Gesamtsituation oder bei Auftreten von schweren Komplikationen die kurative Therapieintention zu beenden und eine suffiziente «best supportive care» Strategie einzuschlagen. Eine enge Kommunikation mit den Angehörigen ist hierbei entscheidend.
Copyright bei Aerzteverlag medinfo AG
Viszeralchirurgie Spital Männedorf
Asylstrasse 10
8307 Männedorf
i.raguz@spitalmaennedorf.ch
Viszeralchirurgie Spital Männedorf
Asylstrasse 10
8307 Männedorf
Stv. Chefarzt Viszeralchirurgie
Spital Männedorf
Asylstrasse 10
8307 Männedorf
a.thalheimer@spitalmaennedorf.ch
Die Autoren haben in Zusammenhang mit diesem Artikel keine Interessenskonflikte deklariert.
- Das akute Abdomen beim älteren und alten Menschen stellt uns vor ganz besondere diagnostische und therapeutische Herausforderungen.
- Die klinische Präsentation der Patienten ist häufig nicht eindeutig, die Differenzialdiagnose vielfältig.
- Die rasche Einleitung einer entsprechenden Diagnostik ist die Grundvoraussetzung einer erfolgreichen Therapie.
- Art und Umfang der meist chirurgischen Therapie müssen mit dem Patienten und seinen Angehörigen unter Berücksichtigung der individuellen Lebenssituation und des Therapiewunsches besprochen werden.
1. Bundesamt für Statistik. Altersmasszahlen der ständigen Wohnbevölkerung nach Staatsangehörigkeitskategorie und Geschlecht, 1999-2018, 2020, July 23 [Available from: https://www.bfs.admin.ch/bfs/de/home/statistiken/bevoelkerung/stand-entwicklung/alter-zivilstand-staatsangehoerigkeit.assetdetail.9466622.htm.
2. Torrance AD, Powell SL, Griffiths EA. Emergency surgery in the elderly: challenges and solutions. Open Access Emerg Med. 2015;7:55-68.
3. Spangler R, Van Pham T, Khoujah D, Martinez JP. Abdominal emergencies in the geriatric patient. Int J Emerg Med. 2014;7:43.
4. Henden Çam P, Baydin A, Yürüker S, Erenler AK, Şengüldür E. Investigation of Geriatric Patients with Abdominal Pain Admitted to Emergency Department. Curr Gerontol Geriatr Res. 2018;2018:9109326.
5. Vásárhelyi B, Debreczeni LA. Lab Test Findings in the Elderly. EJIFCC. 2017;28(4):328-32.
6. Lapin A, Böhmer F. Laboratory diagnosis and geriatrics: more than just reference intervals for the elderly.. Wien Med Wochenschr. 2005;155(1-2):30-5.
7. Alshamari M, Norrman E, Geijer M, Jansson K, Geijer H. Diagnostic accuracy of low-dose CT compared with abdominal radiography in non-traumatic acute abdominal pain: prospective study and systematic review. Eur Radiol. 2016;26(6):1766-74.
8. Millet I, Sebbane M, Molinari N, Pages-Bouic E, Curros-Doyon F, Riou B, et al. Systematic unenhanced CT for acute abdominal symptoms in the elderly patients improves both emergency department diagnosis and prompt clinical management. Eur Radiol. 2017;27(2):868-77.
9. Guibentif L, Ris F, Scheffler M, Reny JL, Prendki V. Acute Appendicitis in Elderly Adults: A Difficult Diagnosis. J Am Geriatr Soc. 2016;64(6):1377-9.
10. Omari AH, Khammash MR, Qasaimeh GR, Shammari AK, Yaseen MK, Hammori SK. Acute appendicitis in the elderly: risk factors for perforation. World J Emerg Surg. 2014;9(1):6.
11. Vilz TO, Stoffels B, Strassburg C, Schild HH, Kalff JC. Ileus in Adults. Dtsch Arztebl Int. 2017;114(29-30):508-18.
12. Drożdż W, Budzyński P. Change in mechanical bowel obstruction demographic and etiological patterns during the past century: observations from one health care institution. Arch Surg. 2012;147(2):175-80.
13. Gardner CS, Jaffe TA, Nelson RC. Impact of CT in elderly patients presenting to the emergency department with acute abdominal pain. Abdom Imaging. 2015;40(7):2877-82.
14. Strömberg C, Johansson G, Adolfsson A. Acute abdominal pain: diagnostic impact of immediate CT scanning. World J Surg. 2007;31(12):2347-54; discussion 55-8.
15. Christensen S, Riis A, Nørgaard M, Sørensen HT, Thomsen RW. Short-term mortality after perforated or bleeding peptic ulcer among elderly patients: a population-based cohort study. BMC Geriatr. 2007;7:8.
16. Roulin D, Saadi A, Di Mare L, Demartines N, Halkic N. Early Versus Delayed Cholecystectomy for Acute Cholecystitis, Are the 72 hours Still the Rule?: A Randomized Trial. Ann Surg. 2016;264(5):717-22.
17. Reite A, Søreide K, Ellingsen CL, Kvaløy JT, Vetrhus M. Epidemiology of ruptured abdominal aortic aneurysms in a well-defined Norwegian population with trends in incidence, intervention rate, and mortality. J Vasc Surg. 2015;61(5):1168-74.
18. Kulinna-Cosentini C, Röhrich S, Arnoldner MA. [Acute abdomen – a practical approach]. Radiologe. 2019;59(2):106-13.
der informierte @rzt
- Vol. 10
- Ausgabe 11
- November 2020












