- Schleichende einseitige Schwerhörigkeit
Fragen
1. Welche Krankheitsbilder kommen als Ursache für eine schleichende einseitige Schwerhörigkeit in Frage?
A. Presbyakusis
B. Otosklerose
C. Vestibularisschwannom
D. Chronische Otitis media
Richtig sind B, C und D. Die Presbyakusis, also die Altersschwerhörigkeit, äussert sich typischerweise mit einer beidseitigen Beeinträchtigung.
2. Welche Untersuchungsmethode wählen Sie, um in der Praxis eine Erkrankung mit einer Schalleitungsschwerhörigkeit wie eine Otosklerose oder eine chronische Otitis media von einer Erkrankung mit einer Schallempfindungsstörung wie ein Vestibularisschwannom zu unterscheiden?
A. Screening-Audiogramm mit Messung der Luftleitungsschwellen
B. Flüsterzahlen
C. Stimmgabelprüfungen
D. Valsalva-Manöver
Antwort: Richtig ist C. Die Stimmgabelprüfungen nach Weber und Rinne stellen eine einfache, billige und sehr verlässlich Untersuchungsmethode dar, um eine Schalleitungs- von einer Schallempfindungsschwerhörigkeit zu differenzieren.
3. Die Otoskopie zeigt bei unserem Patienten?
A. eine zentrale Trommelfellperforation
B. eine randständige Trommelfellperforation
C. Retention von Keratin
D. Durchbruch eines Vestibularisschwannomes
Richtig sind B und C. Die Otoskopie zeigt ein Cholesteatom des rechten Mittelohrs mit allen charakteristischen Zeichen: Die Perforation liegt randständig, und es wird Keratin retiniert. Nebenbefundlich zeigt sich ein kleiner, rötlicher Schleimhautpolyp, dessen Auftreten beim Cholesteatom auch als «Signalpolyp» benannt wird.
4. Neben der schleichenden Schwerhörigkeit gibt der Patient kurzdauernde Schwindelbeschwerden an, welche er durch Schnäuzen provozieren kann. An welche möglichen Komplikationen eines Cholesteatoms müssen Sie denken?
A. Mittelohrerguss
B. Morbus Méniere
C. Bogengangsfistel
D. Benigner paroxysmaler Lagerungsschwindel
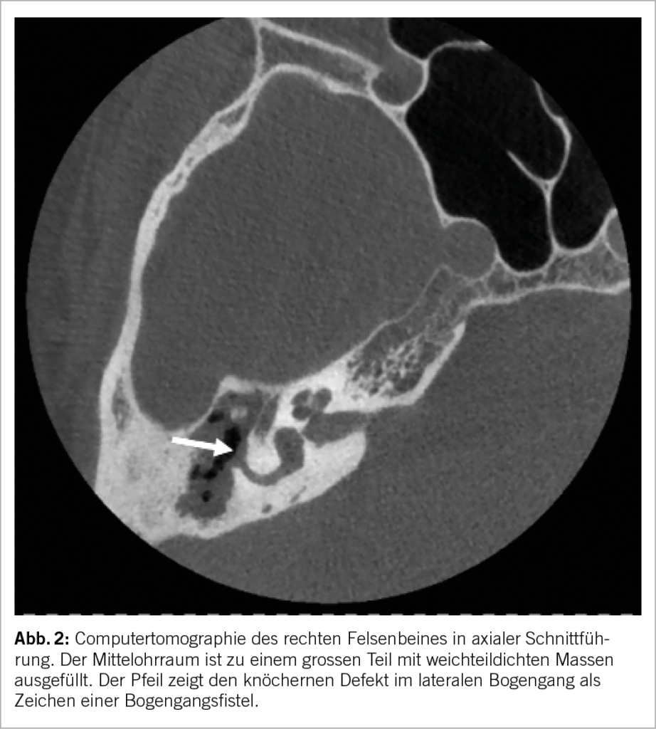
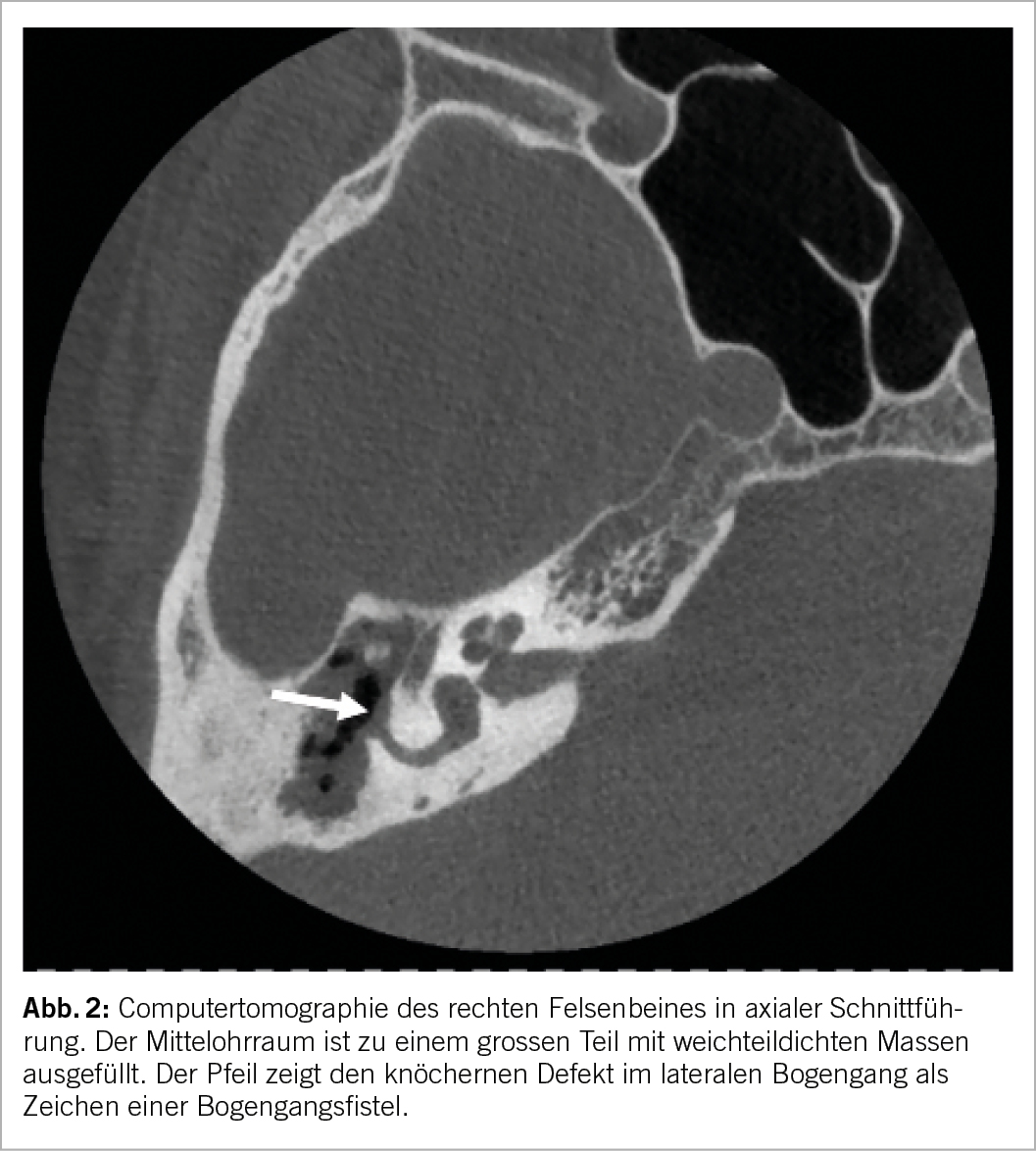
Richtig ist C. Eine Bogengangsfistel ist eine klassische Komplikation eines Cholesteatoms. Ihre korrekte Vermutung wird in einem
Felsenbein-CT bestätigt (Abb. 2).
5. Welche Therapie empfehlen Sie dem Patienten bei der gesicherten Diagnose eines Cholesteatoms mit relevanter Schwerhörigkeit?
A. Systemische und topische Therapie mit einem gegen Pseudomas wirksamen Antibiotikum (Ciprofloxacin) während 4 Wochen, dann Verlaufsbeurteilung, gegebenenfalls Überweisung
B. Überweisung an eine ORL-Praxis zur Hörgeräteversorgung
C. Überweisung an eine ORL-Praxis zur medikamentösen Therapie mit Biologika
D. Überweisung an eine ORL-Praxis zur operativen Therapie
Antwort: richtig ist Antwort D.
Diskussion
Die häufigsten Gründe für eine schleichende einseitige Schwerhörigkeit stellen das Cerumen obturans, die chronische Otitis media, die Otosklerose und das Vestibularisschwannom («Akustikusneurinom») dar. Davon nur schon anamnestisch einfach abzugrenzen sind Pathologien mit rasch auftretender einseitiger Schwerhörigkeit wie der akute Hörsturz, die akute Otitis media und die Felsenbeinfraktur. Beim klinischen Untersuch in der Praxis kann die Differentialdiagnose rasch, einfach und billig mit der Otoskopie und den Stimmgabelprüfungen eingegrenzt werden. Meistens führt der otoskopische Befund bereits zur Diagnose. Die Stimmgabelprüfungen nach Weber und Rinne lassen die Art der Schwerhörigkeit unterscheiden.
Bei unserem Patienten liegt ein Cholesteatom vor, also eine Unterform der chronischen Otitis media. Die chronische Otitis media wird durch eine persistierende Trommelfellperforation definiert und in zwei Formen eingeteilt. Die chronische Otitis media simplex äussert sich mit einer sogenannten zentralen Trommelfellperforation. Zentral bedeutet hier, dass um die Perforation herum immer noch ein kleiner Saum Trommelfell bestehen bleibt. Im Kontrast dazu weist die chronische Otitis media cholesteatomatosa typischerweise eine randständige Trommelfellperforation auf. Die Perforation reicht hier also über die Begrenzung des Trommelfells hinaus bis in die Gehörgangshaut hinein. Beim Cholesteatom wächst Plattenepithel ins Mittelohr ein, wo sich normalerweise Schleimhaut befindet. Im Cholesteatomsack wird dabei Keratin retiniert. Dies löst einen chronisch-entzündlichen Prozess mit Osteolyse aus. Leitsymptom ist neben der schleichenden Schwerhörigkeit häufig die fötide Otorrhoe. Neben der Schwerhörigkeit durch die Destruktion der Gehörknöchelchen ist die Bogengangsfistel mit der Gefahr einer Ertaubung eine häufige Komplikation eines unbehandelten Cholesteatoms, seltener eine otogene Meningitis oder eine Fazialisparese. Therapie der Wahl stellt in der Regel die operative Entfernung des Cholesteatoms dar. Eine medikamentöse Therapie ist nicht möglich. Einzig akute Entzündungschübe, welche sich als fötide Otorrhö äussern und in der Regel durch Pseudomonas-Infekte ausgelöst werden, können symptomatisch mit antibiotischen Ohrentropfen beruhigt werden. Bei der operativen Therapie wird als wichtigstes Ziel das Cholesteatom radikal entfernt, gleichzeitig auch eine Hörrehabilitation durch eine Ossikuloplastik mit mikrochirurgischer Rekonstruktion der Schalleitungskette oder Einsatz eines Mittelohrimplantates durchgeführt.
Copyright bei Aerzteverlag medinfo AG
Klinik für Hals-Nasen-Ohren- und Gesichtschirurgie (HNO)
Luzerner Kantonsspital
Spitalstrasse
6004 Luzern
christoph.schlegel@luks.ch
Der Autor hat keine Interessenkonflikte im Zusammenhang mit diesem Artikel deklariert.







