Echokardiographie

«Thrombus-in-Transit» durch ein persistierendes Foramen ovale



Fallpräsentation

Ein 52-jähriger Patient musste sich wegen eines bronchialen Plattenepithelkarzinoms einer linksseitigen Unterlappenresektion unterziehen. Einige Tage postoperativ klagte der Patient plötzlich über starke Schmerzen im rechten Bein. Ferner bestand eine zunehmende Dyspnoe. Es zeigte sich im ischämischen rechten Bein ein ausgedehnter arterieller Gefässverschluss, welcher durch einen komplexen notfallmässigen Eingriff mit Thrombendarterektomie und Thrombektomie behandelt werden konnte. Die weiteren Abklärungen ergaben den Nachweis von tiefen Beinvenenthrombosen und von ausgedehnten beidseitigen Lungenembolien. Im Labor zeigte sich eine Thrombozytopenie und es wurde die Diagnose einer heparininduzierten Thrombozytopenie Typ II gestellt. Entsprechend wurde die Antikoagulation auf Bivalirudin umgestellt. Im Rahmen der Untersuchungen wurde eine transthorakale Echokardiographie durchgeführt. Hierbei zeigte sich ein dilatierter, exzentrisch hypertropher rechter Ventrikel (Abb. 1) und es fanden sich Zeichen einer ausgeprägten pulmonal-arteriellen Hypertonie (Abb. 2). Im rechten Vorhof zeigte sich ein grosser Thrombus, welcher am interatrialen Septum adhärent zu sein schien (Abb. 3). Ein Teil des Thrombus prolabierte durch die Trikuspidalklappe in den rechten Ventrikel (Abb. 4). Es wurde interdisziplinär entschieden, den grossen ‘Thrombus-in-Transit’ nach Stabilisierung des Patienten operativ zu entfernen. Die intraoperativ durchgeführte transösophageale Echokardiographie liess erkennen, dass der Thrombus nun durch ein persistierendes Foramen ovale (PFO) in den linken Vorhof prolabierte (Abb. 5). Bei der operativen Entfernung zeigte sich, dass der Thrombus in Fäden der Valvula Eustachii verfangen war (Abb. 6), was eine weitere Migration des Thrombus verhinderte. Der Anteil, welcher durch das PFO prolabierte, liess sich ohne Widerstand herausnehmen. Nach Entfernung des Thrombus wurde das Foramen ovale verschlossen. Die Operation verlief erfolgreich. Nach initial protrahiertem Verlauf erholte sich der Patient sehr gut und es zeigte sich eine deutliche Regredienz der pulmonal-arteriellen Hypertonie. Die Antikoagulation mit Bivalirudin wurde in der Folge auf Marcoumar umgestellt; es kam zu keinen weiteren thromboembolischen Komplikationen.

Kommentar

Die Prävalenz des PFO liegt bei etwa 26% (1). Eine paradoxe Embolie vom kleinen in den systemischen Kreislauf durch ein PFO ist jedoch ein seltenes Ereignis, welches zumeist auf einer mutmasslichen Diagnose bei Patienten mit einem stattgehabten kryptogenen ischämischen Ereignis und anschliessendem Nachweis eines PFO beruht. Eindeutige Fälle, bei welchen ein ‘Thrombus-in-Transit’ innerhalb eines PFO erfasst wird, sind eine Rarität. Wie in unserem Fall, begünstigt eine pulmonale Hypertonie mit Anstieg des rechtsatrialen Druckes das Auftreten einer paradoxen Embolie durch ein PFO (2). Begünstigende klinische Risikofaktoren für die massive Thrombenbildung waren bei unserem Patienten der Tumor und dessen operative Entfernung sowie vor allem die postoperativ aufgetretene heparininduzierte Thrombozytopenie.
Die beste therapeutische Strategie bei Patienten mit einem ‘Thrombus-in-Transit’ durch ein PFO ist nicht ganz klar und jeder dieser seltenen Fälle muss individuell beurteilt werden (3). Einer systematischen Review der publizierten Fallberichte zufolge kam es allerdings bei Patienten, bei welchen eine operative Thrombektomie durchgeführt wurde, zu weniger embolischen Ereignissen im weiteren Verlauf verglichen mit Patienten, bei denen eine Lysetherapie oder lediglich eine Antikoagulation erfolgten (4). Demzufolge scheint die chirurgische Therapie die beste Option für Patienten zu sein, welche als operabel eingestuft werden können. In jedem Fall handelt es sich bei einem ‘Thrombus-in-Transit’ durch ein PFO um ein bedrohliches Ereignis, welches gemäss Literatur mit einer Mortalität von 18% vergesellschaftet ist (4).

Abb. 1: RV-fokussierter apikaler Vierkammerblick Es zeigt sich ein exzentrisch hypertropher, dilatierter rechter Ventrikel. RV = rechter Ventrikel, LV = linker Ventrikel, RA = rechtes Atrium und LA = linkes Atrium.
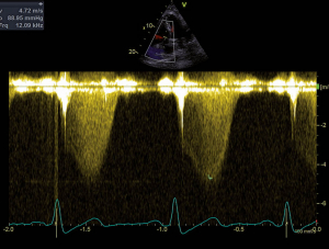
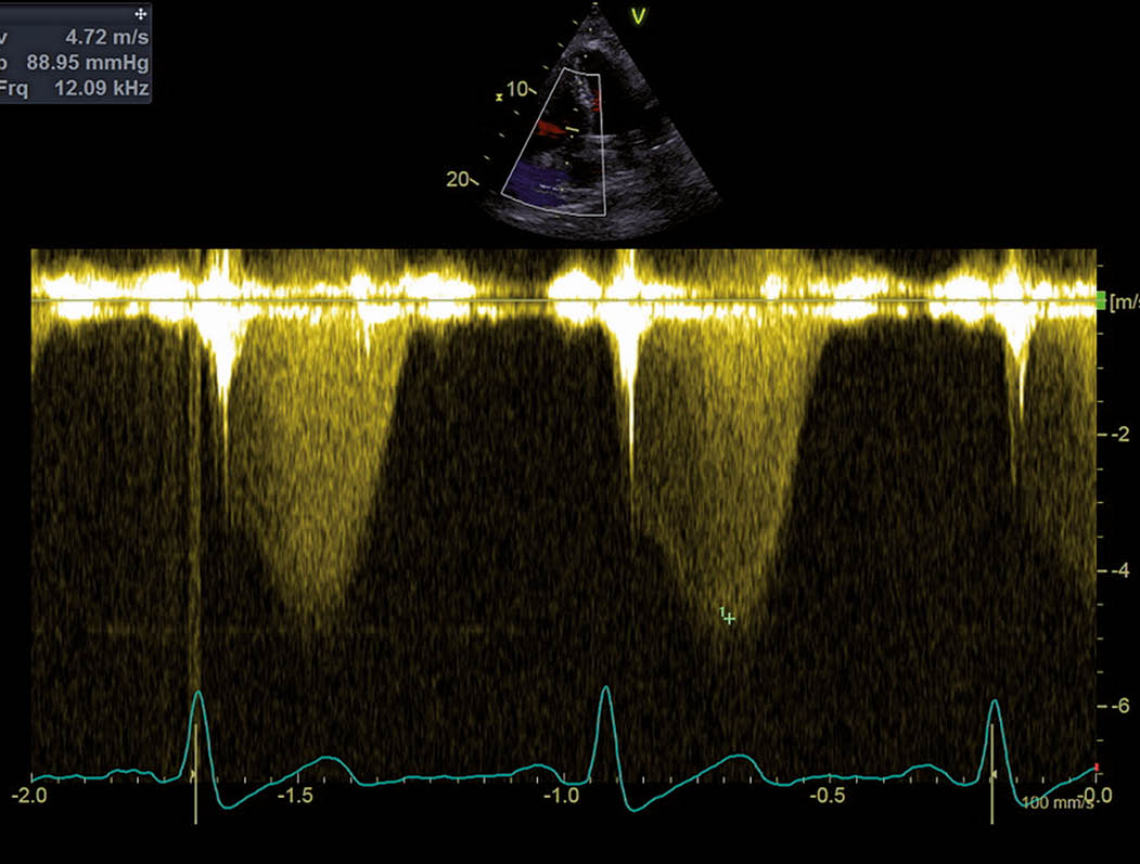
Abb. 2: CW-Doppler-Signal des Flusses durch die Trikuspidalklappe

Es zeigt sich ein schneller systolischer Regurgitationsjet. Der daraus errechnete systolische Druckgradient zwischen rechtem Ventrikel und rechtem Atrium liegt bei 89mmHg, was für eine schwere pulmonalarterielle Hypertonie spricht.

Abb. 3: RV-modifizierter apikaler Vierkammerblick Im rechten Atrium zeigt sich ein grosser, zweischenkliger Thrombus (*), welcher am interatrialen Septum adhärent zu sein scheint (Pfeil). RV = rechter Ventrikel und RA = rechtes Atrium.
Abb. 4: RV-modifizierter apikaler Vierkammerblick Erneute Darstellung des grossen rechtsatrialen Thrombus (*), wobei in diesem Bild der grössere der beiden Schenkel durch die Trikuspidalklappe in den rechten Ventrikel prolabiert (Pfeil). RV = rechter Ventrikel und RA = rechtes Atrium.
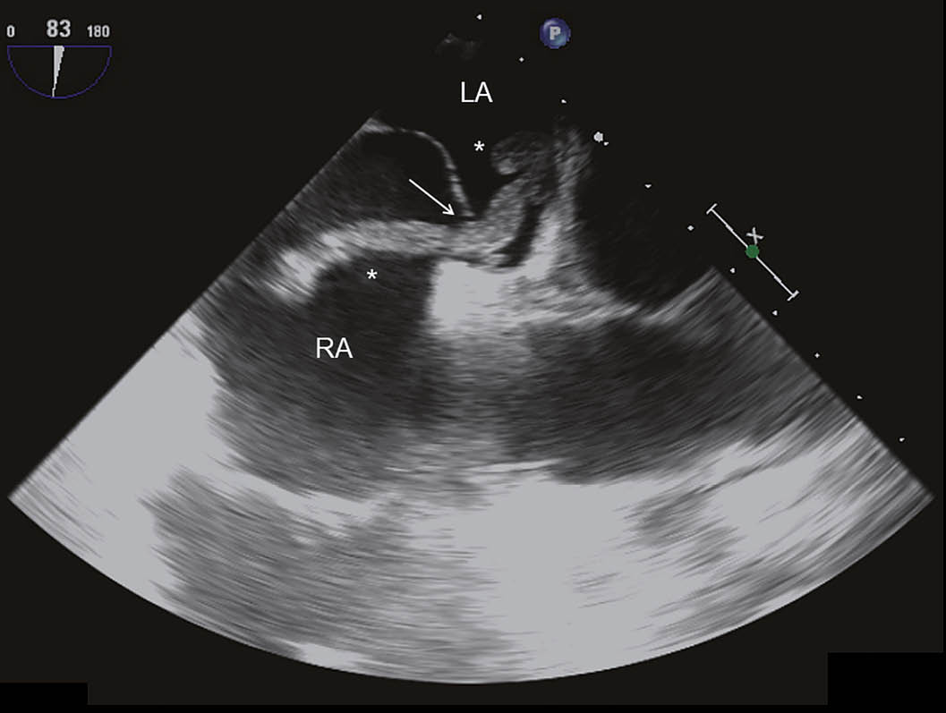
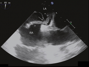
Abb. 5: Intraoperative transösophageale Echokardiographie mit Blick auf die Atria und das interatriale Septum.

Es zeigt sich, dass der Thrombus (*) nun durch ein persistierendes Foramen ovale (Pfeil) in das linke Atrium prolabiert. RA bedeutet rechtes Atrium und LA linkes Atrium.

Abb. 6: Bild des operativ entfernten Thrombus Es zeigt sich eine Einschnürung an der Stelle, wo der Thrombus in Anteilen der Valvula Eustachii verfangen war (Pfeil).
PD Dr. med. Alain M. Bernheim

Stadtspital Triemli
Klinik für Kardiologie
Birmensdorferstrasse 497
8063 Zürich

Alain.Bernheim@triemli.stzh.ch

Der Autor hat keine Interessenskonflikte im Zusammenhang mit diesem Beitrag deklariert

1. Meier B, Lock JE. Contemporary management of patent foramen ovale.
Circulation 2003;107: 5 – 9.
2. Cakir C, Duygu H, Eren NK, Akyildiz ZI, Nazli C, Ergene O. Witnessing a rare event – thrombus seeking its route in the right atrium: ‘thrombus-in-transit’.
J Cardiovasc Med 2008;9:1166-8.
3. Shah DP, Min JK, Raman J, Lodato JA, Van Kley D, Lang RM, Ward RP. Thrombus­in­transit: two cases and a review of diagnosis and management.
J Am Soc Echocardiogr 2007;20:1219.e6­8.
4. Myers PO, Bounameaux H, Panos A, Lerch R, Kalangos A. Impending
paradoxical embolism: systematic review of prognostic factors and treatment. Chest 2010;137:164-70.

info@herz+gefäss

  • Vol. 9
  • Ausgabe 2
  • März 2019