- Lebenslange Maskenpflicht
Ein 31-jähriger Landwirt wird auf eine mutmassliche Pneumonie behandelt. Bei Beschwerdepersistenz trotz antibiotischer Behandlung kommt unter Berücksichtigung der Berufsanamnese der Verdacht auf eine Hypersensitivitätspneumonitis Typ Farmerlunge auf. Hinweise aus verschiedenen Untersuchungsmodalitäten und der klinische Verlauf bestätigen die Verdachtsdiagnose. Durch die rasche Diagnosestellung und ergriffenen Massnahmen gelingt ein Verbleib im angestammten Beruf.
Anamnese und Befunde
Ein 31-jähriger, bislang gesunder Landwirt ohne Raucheranamnese stellte sich im Januar in der hausärztlichen Sprechstunde auf Grund von seit zwei Wochen bestehendem Husten, Abgeschlagenheit und Unwohlsein vor. Klinisch imponierten rechtsbasale Rasselgeräusche bei einer Sauerstoffsättigung von 94 %. Unter Annahme einer ambulant erworbenen Pneumonie erfolgte die antibiotische Behandlung mit Clarithromycin. Zwei Wochen später stellte sich der Patient erneut vor, da es seit dem Vortag zu thorakalem Druckgefühl, Kopfschmerzen und vermehrtem Husten mit blutig tingiertem Auswurf gekommen sei. In der Auskultation bestanden feine periphere Rasselgeräusche beider Lungen. Im Labor waren eine milde Leukozytose (9.2 x103/µl, 86% segmentkernige Leukozyten) und eine CRP-Erhöhung auf 51 mg/l auffällig. Ein Röntgen-Thorax zeigte angedeutete beidseitige Infiltrate. Es wurde eine Therapie mit Levofloxacin 400 mg/d, Prednisolon 40 mg/d und Symbicort® 200/6 mcg 2-0-2 Hub begonnen. Bereits einen Tag später zeigte sich eine klinische Besserung. Über die nächsten 14 Tage kam es jedoch – meistens am Abend, besonders nach Tätigkeiten im Stall – zum erneuten Auftreten der Symptome. Klinisch ließen sich erneut bilaterale pulmonale Rasselgeräusche auskultieren bei im Labor normalisierten Entzündungswerten.
Weitere Abklärungsschritte und Verlauf
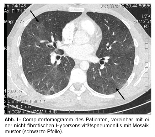
Differentialdiagnostisch zogen wir bei wiederkehrender, anfallsartiger Dyspnoe und Husten ein Asthma bronchiale in Betracht. Die Lungenfunktion zeigte jedoch keine obstruktive, sondern eine leichte restriktive Ventilationsstörung (TLC 75%Soll) mit einer grenzwertig tiefen CO-Diffusionskapazität. Die Oxygenation war in Ruhe dank leichter Hyperventilation knapp suffizient (PO2 70 mmHg, SpO2 95%, PCO2 33 mmHg). Unter mittelschwerer Belastung (100 Watt) bestand eine signifikante Arbeitshypoxämie (PO2 58 mmHg, SpO2 90%, PCO2 32 mmHg). Eine infektiöse Ursache erschien bei Symptompersistenz trotz antibiotischer Therapie und tiefen Entzündungswerten unwahrscheinlich. Zur weiteren Beurteilung wurde ein CT-Thorax durchgeführt, in welchem beidseitige, basal betonte milchglasartige Trübungen des Lungenparenchyms zur Darstellung kamen (Abbildung 1). In Zusammenschau der klassischen Anamnese mit zunehmendem Reizhusten und abendlicher Malaise, dem klinischen Bild mit bilateralen inspiratorischen Rasselgeräuschen, wie auch der restriktiven Ventilationsstörung und den Charakteristika einer interstitiellen Lungenerkrankung in der Bildgebung wurde der Verdacht einer HP – bei Tätigkeit als Landwirt entsprechend einer HP Typ Farmerlunge – gestellt.
Zur weiteren Diagnosesicherung wurde eine Bronchoskopie mit BAL und TBB durchgeführt. In der Bronchoskopie zeigten sich makroskopisch unspezifische entzündliche Veränderungen. Die Ergebnisse der BAL mit leichter Eosinophilie und leichter Lymphozytose (43 %), sowie einer erniedrigten CD4/CD8-Ratio (0.44) konnten die Verdachtsdiagnose stützen. Histopathologisch wurden lymphozytäre interstitielle Infiltrate sowie vereinzelt histiozytäre Granulome und intraalveoläre Masson-Körperchen nachgewiesen. In der Zusammenschau der typischen Anamnese, Klinik und weiteren Befunde konnte die Diagnose einer HP Typ Farmerlunge gestellt werden. Der positive Verlauf mit vollständiger Remission der Beschwerden unter konsequentem Tragen eines Atemschutzes bei Allergenexposition und Kortisontherapie während der verbleibenden Heu-Fütterungszeit erhärtete diese Diagnose.
Die initial gemessene Restriktion war nach dreiwöchiger Behandlung mit Prednison 40mg/d fast vollständig regredient und der Gasaustausch normalisiert. Mit dem Ende der Heu-Fütterungszeit konnte die Steroideinnahme gestoppt werden. Aufgrund Malcompliance beim Tragen des Atemschutzes kam es bisher zu einem einmaligen Rezidiv. Bei nun hervorragender Compliance hinsichtlich des Atemschutzes bei den Stallarbeiten ist der Patient beschwerdefrei und die pneumologischen Verlaufskontrollen fielen unauffällig aus.
Diagnose
Die Farmerlunge ist die häufigste Form der Hypersensitivitätspneumonitis (HP, auch Exogen allergische Alveolitis) und wird beim Auftreten bei Landwirten als Berufskrankheit anerkannt. Die HP beschreibt eine klinisch sehr variable, granulomatöse, interstitielle Lungenerkrankung, die das Resultat einer Inflammation im Lungenparenchym ist [1].
Diese wird nach vorgängiger Sensibilisierung bei einem anfälligen Individuum durch die wiederholte Inhalation von aerogenen Allergenen ausgelöst. Eine ganze Reihe an auslösenden Allergenen sind bekannt, die meisten davon sind organische Proteinstrukturen von Bakterien, Pilzen oder Tieren, seltener auch organische oder anorganische Chemikalien [1]. Speziell bei der Farmerlunge spielen Antigene von Bakterien oder Pilzen im schimmelnden Heu, Stroh oder Getreide eine zentrale Rolle. Die Datenlage hinsichtlich Prävalenz und Inzidenz der Farmerlunge ist auf Grund einer vermuteten hohen Dunkelziffer und fehlenden einheitlichen Diagnosekriterien mangelhaft. Lokale Faktoren wie Klima, Jahreszeit und Art der landwirtschaftlichen Verfahren beeinflussen die Prävalenz. Die Inzidenz der Farmerlunge ist beispielsweise zum Ende der Heu-Fütterungszeit am höchsten und im Herbst am niedrigsten, nachdem sich die Tiere im Freien aufgehalten haben [2]. Zudem korreliert die Inzidenz positiv mit der Anzahl der Regentage der vorgängigen Heu-Saison. Feuchtigkeit, wie auch die Lagerung des Strohs und Heus in Ballen statt lose oder in Quadern, führt über eine erhöhte Fermentationstemperatur zu einer vermehrten Proliferation von HP-assoziierten Erregern. Beim Öffnen von Stroh- und Heuballen und bei der Tierfütterung gelangen diese Antigene in die Luft [3]. Frisches Heu stellt in der Regel keine Allergenquelle dar.
Wie bei allen Formen der HP ist auch bei der Farmerlunge die klinische Präsentation sehr variabel und wird heute nach Empfehlung der kürzlich herausgegebenen Guideline der American Thoracic Society (ATS) nach radiologischen und histologischen Erscheinungsbild in eine nicht-fibrotische (nfHP) und fibrotische HP (fHP) unterteilt, um den prognostischen Unterschieden der beiden Formen gerecht zu werden, bei der die fibrotische HP mit einem schwereren Verlauf und schlechterem Outcome einhergeht [4,5].
Führende Symptome beider Formen der HP sind Dyspnoe und Husten. Nach einer Latenzzeit zur Antigenexposition von 3-12 Stunden – beim Landwirt ist dies typischerweise zu Beginn der Nacht, nachdem er am späten Nachmittag bei der Tierfütterung mit Heu und Stroh in Kontakt gekommen ist – kann es zusätzlich zu grippeartigen Symptomen wie Abgeschlagenheit, Fieber, Inappetenz sowie zu thorakalem Engegefühl kommen. Klassischerweise klingen diese Beschwerden nach einigen Stunden wieder ab mit Persistenz des Hustens und der Dyspnoe. In der klinischen Untersuchung fallen oft bilaterale inspiratorische Rasselgeräusche auf [1]. Anhand der Symptomkonstellation kann nicht auf die Entität der HP (nfHP/fHP) geschlossen werden [5].
Ein diagnostischer Goldstandard existiert nicht. Aufgrund Überschneidungen der diagnostischen Charakteristika mit anderen Lungenpathologien und dem variablen Erscheinungsbild der Erkrankung kann keine Untersuchungsmodalität isoliert zur Diagnosestellung herangezogen werden, sondern basiert auf der Zusammenschau einer Reihe von wegweisenden Befunden unterschiedlicher Modalitäten. Der erste Schritt setzt eine vermutete stattgehabte oder anhaltende Allergenexposition voraus.
Das Verschwinden oder eine Besserung der Symptome nach Meidung des Allergens sowie ein Wiederauftreten der Beschwerden nach Reexposition kann die Verdachtsdiagnose stützen. Ein solcher Karenz-Reexpositionstest fällt jedoch nicht immer positiv aus (beispielsweise wenn das vermutete Allergen nicht komplett gemieden werden kann oder bereits eine fortgeschrittene Fibrose vorliegt) [6].
Die in der Praxis schnell zugängliche Diagnostik, wie Labor, Röntgen und Lungenfunktion, weisen meist unspezifische Ergebnisse auf. Im Labor wird häufig eine Erhöhung des CRPs und der BSG sowie eine Leukozytose gesehen. Die Untersuchung auf präzipitierende IgG im Serum wird in unklaren Fällen empfohlen, ist jedoch isoliert betrachtet wenig spezifisch [7]. Im Röntgen-Thorax, welches in 30 % der Fälle normal ausfällt, können bilaterale Infiltrate oder bei fortgeschrittener Erkrankung Zeichen der Fibrose zur Darstellung kommen [1]. Oft zeigt sich eine restriktive Ventilationsstörung in der Lungenfunktion. Auch eine Gasaustauschstörung kann vorliegen [8].
Als bildgebendes Verfahren wird ein High-Resolution-CT (HRCT) empfohlen, welches bei typischen Befunden eine sichere Unterscheidung zwischen nfHP und fHP zulässt. Bei weiterhin unklarer Diagnose wird auf Befunde aus BAL und transbronchialer Biopsie zurückgegriffen. Typische Befunde aus diesen Modalitäten sind in Tabelle 1 ersichtlich [5].
Das Feld der Differentialdiagnosen der HP ist weit und reicht von anderen interstitiellen Lungenerkrankungen über chronisch obstruktive Lungenerkrankungen zu bakteriellen und viralen Pneumonien [1].
Zentraler Bestandteil des Managements der Farmerlunge ist die Umsetzung von geeigneten Massnahmen zur Meidung bzw. Reduktion der Allergeninhalation (z.B. Tragen einer Schutzmaske bei Heustaub exponierten Tätigkeiten, gute Stalllüftung zur Reduktion der Allergenlast, ausreichende Trocknung des Heus vor Einlagerung). Unter diesen Vorkehrungen gelingt es in den meisten Fällen, dass die Betroffenen im Beruf bleiben können [9]. In der klinischen Erfahrung führte die Weiterentwicklung der Atemschutzsysteme (Abbildung 2) zu einer höheren Compliance. Korticosteroide werden meist für wenige Wochen zur Symptomkontrolle eingesetzt. Bei Fällen mit fortschreitender Fibrosierung steht mit Ofev® (Nintedanib) ein Antifibrotikum zur Verfügung, womit das Fortschreiten einer Erkrankung im besten Fall gebremst werden kann.
Die Prognose der HP variiert stark von Fall zu Fall. So besteht bei der nfHP, wie dieser Fall Anhand des Beispiels einer Farmerlunge zeigt, bei rascher Diagnose und konsequenter Allergenkarenz eine gute Prognose mit möglicher Krankheitsstabilisierung bis hin zur vollständigen Remission. Der Nachweis einer Fibrose ist mit einer schlechteren Prognose assoziiert.
Im Artikel verwendete Abkürzungen
BAL Bronchoalveoläre Lavage
BSG Blutsenkungsgeschwindigkeit
fHP fibrotische Hypersensitivitätspneumonitis
HP Hypersensitivitätspneumonitis
HRCT High-Resolution Computer Tomographie
IVC Inspiratorische Vitalkapazität
nfHP nicht-fibrotische Hypersensitvitätspneumonitis
TBB Transbronchiale Biopsie
Hausarztpraxis Ogimatte AG
Ogimatte 7
3713 Reichenbach i. Kandertal
joern.eggimann@gmail.com
Es bestehen keine Interessenskonflikte.
History
Manuskript eingereicht: 25.09.2023
Manuskript angenommen: 18.10.2023
- Das Engramm aus respiratorischen und systemischen Symptomen in zeitlicher Korrelation zu einer Tätigkeit oder Umgebung sollte dringend an eine HP denken lassen.
- Die Befunde gängiger schnell erhältlicher Untersuchungsmodalitäten (Labor, Lungenfunktion, Röntgen-Thorax) können bei der HP unauffällig ausfallen und sollten daher nicht zum Ausschluss dieser Diagnose führen.
- Eine rasche Diagnosestellung und Vermeidung des potentiellen Auslösers sind prognostisch entscheidend.
1. Riario Sforza GG, Marinou A. Hypersensitivity pneumonitis: a complex lung disease. Clin Mol Allergy. 2017;15:6.
2. Terho EO, Heinonen OP, Lammi S, Laukkanen V. Incidence of clinically confirmed farmer’s lung in Finland and its relation to meteorological factors. Eur J Respir Dis Suppl. 1987;152:47–56.
3. Roussel S, Reboux G, Million L, Dalphin JC, Piarroux R. Pneumopathies d’hypersensibilité et exposition aux moisissures et actinomycètes de l’environnement. J Mycol Méd. 2006;16:239–47.
4. Kadura S, Raghu G. Hypersensitivity pneumonitis: Principles in diagnosis and management. Respirology. 2023.
5. Raghu G, Remy-Jardin M, Ryerson CJ, et al. Diagnosis of hypersensitivity pneumonitis in adults: an Official ATS/JRS/ALAT Clinical Practice Guideline. Am J Respir Crit Care Med. 2020; 202(3): e36– 69.
6. Fernández Pérez ER, Travis WD, Lynch DA, et al. Diagnosis and Evaluation of Hypersensitivity Pneumonitis: CHEST Guideline and Expert Panel Report. Chest. 2021;160(2):e97-e156.
7. Spagnolo P, Rossi G, Cavazza A, et al. Hypersensitivity Pneumonitis: A Comprehensive Review. J Investig Allergol Clin Immunol. 2015;25(4):237-50
8. Sennekamp J, Müller-Wening D, Amthor M, et al. German Extrinsic Allergic Alveolitis Study Group. [Guidelines for diagnosing extrinsic allergic alveolitis (hypersensitivity pneumonitis) (German Extrinsic Allergic Alveolitis Study Group)]. Pneumologie. 2007;61(1):52-6.
9. Ntawuruhunga E, Kursnera D, Chouanièrea D, et al. Farmerlunge: Beitrag der Arbeitsmedizin. Schweiz Med Forum 2010;10(3):39-42.
PRAXIS
- Vol. 113
- Ausgabe 1
- Januar 2024








