- Pulmonale zystische Läsionen bei einer jungen Frau
Anamnese und Befunde
Im Januar 2023 präsentierte sich eine damals 31-jährige Patientin bei ihrem Hausarzt mit lang anhaltenden, episodischen epigastrischen Bauchkrämpfen, die sich nach Nahrungsaufnahme verstärkten und regelmässig von Übelkeit begleitet wurden. Zusätzlich gab sie an, unter Verdauungsproblemen zu leiden. Die Stuhlfrequenz variierte zwischen 2- und 8-mal täglich mit wechselnder Konsistenz, ohne Anzeichen von Blut im Stuhl. Die Patientin war kürzlich von den Malediven zurückgekehrt, und ihre Symptome hatten sich seit ihrer Rückkehr verstärkt. Trotz dieser gastrointestinalen Beschwerden blieb das Gewicht der Patientin stabil, und es traten keine B-Symptome wie nächtliche Schweissausbrüche oder Fieber auf. Zur weiteren Vorgeschichte liegen keine relevanten oder familiären Vorerkrankungen vor. Die Patientin arbeitet in einem Büro und ist dort nur einem geringen Stressniveau ausgesetzt. Vor zwei Jahren hat sie das Rauchen aufgegeben, nachdem sie insgesamt 5 Päckchenjahre geraucht hatte. Sie hat keine bekannten Allergien. Ausser einem östrogenhaltigen oralen Kontrazeptivum nimmt sie regelmässig keine anderen Medikamente.
Die klinische Untersuchung ergab eine afebrile Patientin in gutem Allgemein- und Ernährungszustand mit einem Blutdruck von 115/81 mmHg und einem regelmässigen Puls von 85 Schlägen pro Minute. Die Lunge und das Herz waren unauffällig. Die abdominale Untersuchung zeigte lebhafte Darmgeräusche und keine Auffälligkeiten. Es wurden keine Hautveränderungen festgestellt. Bei der Blutentnahme in der Hausarztpraxis wurden keine erhöhten Entzündungsmarker, keine Anämie oder anderen pathologischen Zustände festgestellt.
Differenzialdiagnostische Überlegungen
Bei unserer Patientin wurden zunächst verschiedene Differenzialdiagnosen in Betracht gezogen wie eine gastrointestinale Infektion mit Helicobacter pylori oder parasitär, bedingt durch ihre Reise in endemische Gebiete. Zusätzlich wurden auch eine Cholelithiasis sowie eine Hyperthyreose oder Hypothyreose als potenzielle Einflussfaktoren erwogen. Weiterhin wurden entzündliche Darmerkrankungen (IBD), ein Reizdarmsyndrom (IBS) oder eine Zöliakie aufgrund ihrer episodischen Bauchschmerzen und Verdauungsstörungen sorgfältig in die Überlegungen einbezogen.
Weitere Abklärungsschritte
Die erweiterte Blutanalyse umfasste die Messung des Thyreoidea-stimulierenden Hormons (TSH), des Calprotectins im Stuhlgang und der Antikörper gegen Zöliakie. Die resultierenden Befunde präsentierten sich als unauffällig. Zusätzlich wurde auch eine Stuhlkultur angelegt, bei der eine Infektion mit Blastocytis hominis diagnostiziert wurde. Infolgedessen wurde eine zehntägige Antibiotikatherapie mit Metronidazol durchgeführt. Angesichts der Persistenz der Symptome trotz Antibiotika und langjähriger intermittierender, postprandialer, epigastrisch akzentuierter Bauchkrämpfe, begleitet von Übelkeit und variabler Stuhlkonsistenz, fanden eine Ösophago-Gastro-Duodenoskopie und eine Ileokoloskopie mit Biopsien statt. Die endoskopische Untersuchung des Gastrointestinaltrakts ergab keine Auffälligkeiten, und das Vorliegen der oben genannten Erkrankungen schien unwahrscheinlich. Ergänzend wurde eine Abdomensonographie zum Ausschluss einer Cholelithiasis durchgeführt und als Zufallsbefund eine Raumforderung der linken Niere festgestellt.
In der MRT-Untersuchung zeigte sich im Bereich des mittleren/kaudalen Drittels der linken Niere eine scharf begrenzte Strukturalteration mit einem Durchmesser von knapp 5 cm, die teilweise bis zum Nierenbecken reichte (Abb. 1). Definitive fettäquivalente Anteile konnten kernspintomographisch nicht eindeutig identifiziert werden, weshalb eine weitere Abklärung mittels Biopsie empfohlen wurde.
Nach Abwägung der Vor- und Nachteile wurde beschlossen, eine Nierenteilresektion vorzunehmen. Im Rahmen der präoperativen Raumforderungsabklärung mittels thorakaler Computertomographie (CT) wurden einzelne bilaterale, dünnwandige und relativ gleichmässig verteilte Lungenzysten festgestellt ohne weitere Auffälligkeiten (Abb. 2). Ergänzend wurde eine Lungenfunktionstestung durchgeführt, die sich im Normbereich befand.
Nach der Nierenteilresektion ergaben die histopathologischen Untersuchungen die Diagnose eines 4.5 cm grossen, fettarmen Angiomyolipoms. Die Immunhistochemie zeigte eine starke Positivität für Alpha-Smooth Muscle Actin (Alpha-SMA) und Caldesmon, eine fokale Positivität für Desmin, Human Melanoma Black (HMB45) und Melan- A und Negativität für Anti-Cytokeratin antibody (MNF 116). Angesichts der vorliegenden Befunde einer zystischen Lungenerkrankung und eines renalen Angiomyolipoms wurde bei Verdacht auf eine Lymphangioleiomyomatose das VEGF-D bestimmt. Der gemessene Wert von 868 pg/l lag über dem Normbereich (bis 800 pg/ml).
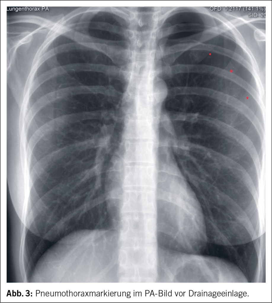
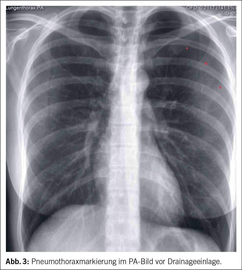
Ein Jahr nach der Diagnosestellung stellte sich die Patientin aufgrund akuter Beschwerden erneut bei ihrem Hausarzt vor. Sie berichtete über starke linksseitige Thoraxschmerzen, die sich beim tiefen Einatmen verschlimmerten. Es wurde eine Röntgenaufnahme des Thorax durchgeführt, das einen apikalen Pneumothorax von ca. 2 cm als passendes Korrelat für die Beschwerden zeigte. Die Patientin wurde notfallmässig ins Spital eingewiesen, wo sie stationär aufgenommen wurde. Zur Behandlung des Pneumothorax erfolgte die Anlage einer Thoraxdrainage (Abb. 3).
Diagnose
Pulmonale Lymphangioleiomyomatose (LAM) mit Angiomyolipom der linken Niere.
Kommentar
Die initialen gastrointestinalen Beschwerden einer 31-jährigen Patientin, darunter Bauchschmerzen, postprandiale Übelkeit und eine wechselnde Stuhlkonsistenz, bleiben unklar. Eine Infektion mit Blastocystis hominis wurde diagnostiziert und antibiotisch behandelt, jedoch ohne vollständige Symptomfreiheit. Entzündliche Darmerkrankungen, Zöliakie und funktionelle Beschwerden wie ein Reizdarmsyndrom wurden ausgeschlossen. Mögliche Ursachen könnten eine unspezifische intestinale Dysbiose nach der Reise oder hormonelle Einflüsse durch das östrogenhaltige Kontrazeptivum sein. Die genaue Rolle der GI-Symptome in Zusammenhang mit der LAM ist unklar.
Die Diagnose einer Lymphangioleiomyomatose (LAM) hätte spätestens nach dem präoperativen CT-Bild gestellt werden können, da die Bildgebung mit den typischen Lungenzysten, dem renalen Angiomyolipom und dem erhöhten VEGF-D-Wert eine hohe diagnostische Sicherheit bot. Eine Biopsie der Lunge oder Niere hätte die Diagnose weiter bestätigen können.
Vorteile einer Biopsie wären eine definitive histopathologische Bestätigung der Diagnose und die Möglichkeit, zwischen malignen und benignen Raumforderungen zu differenzieren. Nachteile umfassen das Risiko von Komplikationen wie Blutungen oder Infektionen sowie die Möglichkeit eines nicht repräsentativen Ergebnisses.
In diesem Fall wurde aufgrund der klaren Bildgebung und der klinischen Indikationen die Entscheidung für die Nierenteilresektion getroffen, um eine definitive Diagnose und Therapie in einem Schritt zu ermöglichen.
Pathophysiologie, Diagnose und Herausforderungen in der Differenzialdiagnose
Die LAM ist eine seltene Systemerkrankung, die vorwiegend bei Frauen im gebärfähigen Alter auftritt (1, 2). Sie ist durch eine abnorme Vermehrung von glatten Muskelzellen (LAM-Zellen) gekennzeichnet, die zur Bildung von zystischen Läsionen in der Lunge, den Lymphgefässen und anderen Organen führt (2). Das klinische Spektrum der LAM und ihr Verlauf können jedoch individuell stark variieren und können mit verschiedenen pulmonalen und extrapulmonalen Erkrankungen überlappen (3, 4). Daher ist eine gründliche Untersuchung erforderlich, um LAM von ähnlichen Erkrankungen abzugrenzen (5) (Tab. 1). Die LAM manifestiert sich entweder sporadisch (sporadische Lymphangioleiomyomatose [S-LAM]) durch eine Mosaikmutation des Tuberingens spontan oder ist als Keimbahnmutation in Verbindung mit systemischen Manifestationen im Rahmen der tuberösen Sklerose (Tuberöse Sklerose-komplex-assoziierte Lymphangioleiomyomatose [TSC-LAM]) erblich bedingt. Zu den systemischen Manifestationen der tuberösen Sklerose zählen neurologische Störungen (z. B. Epilepsie), Dermatosen (z. B. Angiofibrome), renale Befunde (z. B. Angiomyolipome) und kardiale Anomalien (z. B. Rhabdomyome) (5, 6). Extrapulmonale Manifestationen der LAM, insbesondere renale Angiomyolipome (AMLs), manifestieren sich bei 30 % der Patientinnen mit S-LAM und bei bis zu 80 % mit TSC-LAM. Bei S-LAM manifestieren sich AMLs in der Regel einseitig und asymptomatisch. Tritt eine beidseitige Ausprägung auf, so ist diese in der Regel mit TSC assoziiert (5). Hormone, besonders Östrogen, spielen eine wichtige Rolle bei der Krankheitsentwicklung, da hormonelle Veränderungen wie Schwangerschaft oder die Verwendung hormoneller Verhütungsmittel die Symptome verschlechtern können (7–9).

Der vaskuläre endotheliale Wachstumsfaktor-D (VEGF-D) hat sich als bedeutender Biomarker bei der LAM etabliert (10–12). Etwa 70 % der Betroffenen weisen erhöhte Werte auf (13). Gemäss den aktuellen klinischen Leitlinien wird die routinemässige Bestimmung des Serum-VEGF-D bei Verdachtsfällen von LAM empfohlen (14). Ein VEGF-D-Spiegel von mehr als 800 pg/ml, kombiniert mit charakteristischen Lungenzysten in der hochauflösenden Computertomographie (HRCT), weist eine diagnostische Spezifität von nahezu 100 % für eine LAM auf (10). Des Weiteren fungiert VEGF-D als Differenzierungsmerkmal zwischen LAM und anderen Ursachen zystischer Lungenerkrankungen (11, 13). Eine der Hauptmerkmale der LAM ist ihre Heterogenität im klinischen Erscheinungsbild (4). Während einige Personen jahrelang asymptomatisch bleiben können, erleben andere eine schnelle Verschlechterung der Lungenfunktion (15).
Wichtige Differenzialdiagnosen bei bilateralen pulmonalen Zysten sind die Langerhans-Zell-Histiozytose (LCH), die lymphoide interstitielle Pneumonie (LIP) und das Birt-Hogg-Dubé-Syndrom (16) (Tab. 2). Bei der vor allem bei Raucherinnen auftretenden LCH sind die Zysten in der Computertomographie heterogen, meist in den oberen Lungenlappen lokalisiert und oft bizarr konfiguriert. Im Gegensatz dazu sind bei der LAM die Zysten rund, haben dünne Wände von 1–2 cm und sind gleichmässig über das gesunde Lungengewebe verteilt. Symptomatische Patientinnen weisen normalerweise eine höhere Anzahl an Zysten auf als asymptomatische (13, 17). Bei der LIP, die vor allem bei Personen mit rheumatologischen Erkrankungen, Kollagenosen und HIV-Infektion auftritt, sind die Zysten typischerweise in den unteren Lungenlappen betont (17, 18). Beim Birt-Hogg-Dubé-Syndrom könnten kutane Läsionen wie Fibrofollikulome oder Trichodiscome sowie eine familiäre Anamnese dieser Erkrankung bedeutsam sein (6, 19).
Etwa 4 von 10 Patientinnen entwickeln als Erstmanifestation der LAM einen Pneumothorax. Im Verlauf der Krankheit tritt bei rund zwei Drittel der Patientinnen mindestens einmal ein Pneumothorax auf. Das Rezidivrisiko nach dem ersten Pneumothorax betreffen etwa drei Viertel der Patientinnen (6, 19). Bei Patientinnen mit S-LAM besteht ein Risiko für das Auftreten von Meningeomen (20). Aufgrund dieser Assoziation wird ein Screening mittels zerebraler Magnetresonanztomographie (MRT) des Neurokraniums empfohlen, um mögliche Hirntumore frühzeitig zu erkennen.
Therapie
Die Therapie der LAM umfasst verschiedene Ansätze. Zu den häufig verwendeten Behandlungsmöglichkeiten gehören mTOR-Inhibitoren wie Sirolimus oder Everolimus, die darauf abzielen, das Zellwachstum zu reduzieren und die Lungenfunktion zu stabilisieren (21). Diese Medikamente haben sich als wirksam erwiesen, insbesondere bei der Linderung von Atemnot und der Verkleinerung der Angiomyolipome (22). Je nach dem Verlauf und dem Schweregrad der Erkrankung ist es ratsam, Situationen zu vermeiden, die zu einer Östrogenexposition führen könnten, wie beispielsweise Schwangerschaft oder die Anwendung hormoneller Verhütungsmittel (6). Zusätzlich können Bronchodilatatoren eingesetzt werden, um die Atemwegsobstruktion zu lindern und die Atmung zu verbessern. Impfungen gegen Grippe und Pneumokokken sind wichtig, um das Risiko von Infektionen bei LAM-Patientinnen zu reduzieren (1). Der Rauchstopp ist wichtig, um die Progression der Krankheit zu verlangsamen und das Risiko von Komplikationen zu verringern (1). Pulmonale Rehabilitationsmassnahmen können dabei helfen, die Lungenfunktion zu erhalten und die Lebensqualität zu verbessern (23). Bei Pneumothorax kann eine Pleurodese durchgeführt werden, um das Wiederauftreten zu verhindern (1, 24). In fortgeschrittenen Fällen, in denen die Lungenfunktion stark beeinträchtigt ist, kann eine Lungentransplantation in Betracht gezogen werden. Dies ist jedoch die letzte Option und wird nur bei Patientinnen mit schwerem Lungenversagen durchgeführt (25).
Prognose
Die Progressionsrate und der Schweregrad der Erkrankung variieren erheblich, wobei das Fortschreiten des Lungenfunktionsverlusts als entscheidender prognostischer Parameter betrachtet wird. Beispielsweise zeigt die S-LAM häufig einen aggressiveren Verlauf und einen schnelleren Funktionsverlust im Vergleich zur TSC-LAM (26), sodass eine Lungentransplantation in Einzelfällen notwendig werden kann.
Fazit
Im vorliegenden Fallbericht einer 31-jährigen Patientin wurde eine differenzierte therapeutische Strategie gewählt. Darüber hinaus wurde empfohlen, auf die Einnahme von östrogenhaltigen Medikamenten zu verzichten. Aufgrund der normalen Lungenfunktion und nur weniger pulmonaler Zysten wurde derzeit entschieden, keine mTOR-Therapie einzuleiten. Die Patientin befindet sich jedoch in kontinuierlicher Facharztbetreuung. Die Bedeutung einer individualisierten Behandlungsstrategie, die auf dem aktuellen Verständnis der Pathophysiologie der Erkrankung basiert und die potenziellen Risiken und Nutzen für die Patientin berücksichtigt, ist eine unverzichtbare Komponente für den Erfolg (22).
Abkürzungen
Alpha-SMA Alpha-Smooth Muscle Actin
AMLs Renale Angiomyolipome
COPD Chronisch obstruktive Lungenerkrankung
CT Computertomographie
HMB-45 Human Melanoma Black
HRCT Hochauflösende Computertomographie
IBD Entzündliche Darmerkrankungen
IBS Irritable Bowel Syndrome (Reizdarmsyndrom)
LAM Lymphangioleiomyomatose
LCH Langerhans-Zell-Histiozytose
LIP Lymphoide interstitielle Pneumonie
MNF 116 Anti-Cytokeratin antibody
mTOR-Inhibitoren Mammalian Target of Rapamycin-Inhibitoren
S-LAM Sporadische Lymphangioleiomyomatose
TSC Tuberöse Sklerose-Komplex
TSC-LAM Tuberöse Sklerose-komplex-assoziierte Lymphangioleiomyomatose
Historie
Manuskript eingegangen: 17.07.2024
Angenommen nach Revision: 04.03.2025
Bildnachweise
Klinische Abbildungen mit freundlicher Genehmigung des HOCH Kantonsspitals St. Gallen.
Wiktoria Drozdz 1
Luis Manrique 1
Fatmir Rama 1
Jan Kellner 2
Christian Clarenbach 3
Katja Weiss 4
Beat Knechtle 1, 4*
1 Medbase St. Gallen Am Vadianplatz, St. Gallen, Schweiz
2 Institut für Diagnostische Radiologie, HOCH Kantonsspital St. Gallen, St. Gallen, Schweiz
3 Klinik für Pneumologie, Universitätsspital und Universität Zürich, Zürich, Schweiz
4 Institut für Hausarztmedizin, Universität Zürich, Zürich, Schweiz
Facharzt FMH für Allgemeinmedizin
Medbase St. Gallen Am Vadianplatz
Vadianstrasse 26
9001 St. Gallen
Switzerland
beat.knechtle@hispeed.ch
Die Autorenschaft hat keine Interessenkonflikte im Zusammenhang mit diesem Artikel deklariert.
• Die LAM betrifft hauptsächlich Frauen im gebärfähigen Alter.
• Typische klinische Merkmale sind Belastungsluftnot und der akute Pneumothorax, obwohl die Erkrankung oft asymptomatisch verläuft.
• Die Diagnose wird durch die thorakale und abdominale Bildgebung, Histologie und VEGF-D im Serum unterstützt.
• Keine Heilung, aber Behandlungsoptionen zur Symptomlinderung und Verlangsamung der Progression wie mTOR-Inhibitoren, Bronchodilatatoren, Impfungen (Grippe, Pneumokokken), pulmonale Rehabilitationsmassnahmen, Rauchstopp, Pleurodese bei Pneumothorax, Lungentransplantation (selten).
• Multidisziplinäre Betreuung durch Fachärzte ist wichtig.
1. Johnson SR. Lymphangioleiomyomatosis. European Respiratory Journal 2006;27:1056–65.
2. Johnson SR. Clinical experience of lymphangioleiomyomatosis in the UK. Thorax 2000;55:1052–7.
3. Ryu JH, Moss J, Beck GJ, Lee JC, Brown KK, Chapman JT, et al. The NHLBI Lymphangioleiomyomatosis Registry. Am J Respir Crit Care Med 2006;173:105–11.
4. Johnson SR, Cordier JF, Lazor R, Cottin V, Costabel U, Harari S, et al. European Respiratory Society guidelines for the diagnosis and management of lymphangioleiomyomatosis. European Respiratory Journal 2010;35:14–26.
5. Hohman DW, Noghrehkar D, Ratnayake S. Lymphangioleiomyomatosis: A review. Eur J Intern Med 2008;19:319–24.
6. H. Wirtz. Lymphangioleiomyomatose. Refresher Thoraxchirurgie Zentralbl Chir 2013;138:S59–76.
7. Henske EP, McCormack FX. Lymphangioleiomyomatosis — a wolf in sheep’s clothing. Journal of Clinical Investigation 2012;122:3807–16.
8. Gupta N, Lee HS, Ryu JH, Taveira-DaSilva AM, Beck GJ, Lee JC, et al. The NHLBI LAM Registry. Chest 2019;155:288–96.
9. Yu J, Astrinidis A, Howard S, Henske EP. Estradiol and tamoxifen stimulate LAM-associated angiomyolipoma cell growth and activate both genomic and nongenomic signaling pathways. American Journal of Physiology-Lung Cellular and Molecular Physiology 2004;286:L694–700.
10. Young LR, VanDyke R, Gulleman PM, Inoue Y, Brown KK, Schmidt LS, et al. Serum Vascular Endothelial Growth Factor-D Prospectively Distinguishes Lymphangioleiomyomatosis From Other Diseases. Chest 2010;138:674–81.
11. Seyama K, Kumasaka T, Souma S, Sato T, Kurihara M, Mitani K, et al. Vascular Endothelial Growth Factor-D Is Increased in Serum of Patients with Lymphangioleiomyomatosis. Lymphat Res Biol 2006;4:143–52.
12. Young LR, Inoue Y, McCormack FX. Diagnostic Potential of Serum VEGF-D for Lymphangioleiomyomatosis. New England Journal of Medicine 2008;358:199–200.
13. O’Mahony AM, Lynn E, Murphy DJ, Fabre A, McCarthy C. Lymphangioleiomyomatosis: a clinical review. Breathe 2020;16:200007.
14. Gupta N, Finlay GA, Kotloff RM, Strange C, Wilson KC, Young LR, et al. Lymphangioleiomyomatosis Diagnosis and Management: High-Resolution Chest Computed Tomography, Transbronchial Lung Biopsy, and Pleural Disease Management. An Official American Thoracic Society/Japanese Respiratory Society Clinical Practice Guideline. Am J Respir Crit Care Med 2017;196:1337–48.
15. Harknett EC, Chang WYC, Byrnes S, Johnson J, Lazor R, Cohen MM, et al. Use of variability in national and regional data to estimate the prevalence of lymphangioleiomyomatosis. QJM: An International Journal of Medicine 2011;104:971–9.
16. W. Richard Webb NLMDPN. High-Resolution CT of the Lung.
17. Arish N, Eldor R, Fellig Y, Bogot N, Laxer U, Izhar U, et al. Lymphocytic interstitial pneumonia associated with common variable immunodeficiency resolved with intravenous immunoglobulins. Thorax 2006;61:1096–7.
18. Cha SI. Lymphoid interstitial pneumonia: clinical features, associations and prognosis. European Respiratory Journal 2006;28:364–9.
19. Koslow M, Lynch DA, Cool CD, Groshong SD, Downey GP. Lymphangioleiomyomatosis and Other Cystic Lung Diseases. Immunol Allergy Clin North Am 2023;43:359–77.
20. Bissler JJ, Kingswood JC, Radzikowska E, Zonnenberg BA, Frost M, Belousova E, et al. Everolimus for renal angiomyolipoma in patients with tuberous sclerosis complex or sporadic lymphangioleiomyomatosis: extension of a randomized controlled trial. Nephrology Dialysis Transplantation 2016;31:111–9.
21. McCormack FX, Inoue Y, Moss J, Singer LG, Strange C, Nakata K, et al. Efficacy and Safety of Sirolimus in Lymphangioleiomyomatosis. New England Journal of Medicine 2011;364:1595–606.
22. Araujo MS, Baldi BG, Freitas CSG, Albuquerque ALP, Marques da Silva CCB, Kairalla RA, et al. Pulmonary rehabilitation in lymphangioleiomyomatosis: a controlled clinical trial. European Respiratory Journal 2016;47:1452–60.
23. Suzuki E, Kurihara M, Tsuboshima K, Watanabe K, Okamoto S, Seyama K. The effects of total pleural covering on pneumothorax recurrence and pulmonary function in lymphangioleiomyomatosis patients without history of pleurodesis or thoracic surgeries for pneumothorax. J Thorac Dis 2021;13:113–24.
24. Oliveira MR, Wanderley M, Freitas CSG, Kairalla RA, Chate RC, Amaral AF, et al. Clinical, tomographic and functional comparison of sporadic and tuberous sclerosis complex-associated forms of lymphangioleiomyomatosis: a retrospective cohort study. ERJ Open Res 2024;10:00759–2023.
25. McCormack FX, Gupta N, Finlay GR, Young LR, Taveira-DaSilva AM, Glasgow CG, et al. Official American Thoracic Society/Japanese Respiratory Society Clinical Practice Guidelines: Lymphangioleiomyomatosis Diagnosis and Management. Am J Respir Crit Care Med 2016;194:748–61.
26. McLoughlin L, Thomas G, Hasan K. Pregnancy and lymphangioleiomyomatosis: anaesthetic management. Int J Obstet Anesth 2003;12:40–4.
PRAXIS
- Vol. 114
- Ausgabe 4
- April 2025









