Radiologische Befunde von ingestierten Fremdkörpern bei Kindern: Praktische Erfahrungen und Überlegungen

  • Radiologische Befunde von ingestierten Fremdkörpern bei Kindern: Praktische Erfahrungen und Überlegungen

Die Fremdkörperingestion durch Kleinkinder steigt seit Jahren an. Besonders problematisch sind dabei die Ingestionen von Batterien und Magneten.[1] Vor und während der Diagnose gibt es einige wichtige Schritte, welche beachtet werden sollten, damit eine korrekte Patientenbehandlung ermöglicht werden kann.



Problematiken

In ca. 80% der Fälle ist das Verschlucken eines Fremdkörpers kein Problem. Er wird durch die Speiseröhre aufgenommen, durchläuft den Verdauungstrakt und wird problemlos wieder ausgeschieden.[2] Kritisch wird es, wenn der ingestierte Gegenstand entweder:
• ein zu grosser Fremdkörper ist um den Magen-Darm-Trakt zu passieren
• ein scharfkantiger Fremdkörper ist
• eine Batterie ist
• aus mindestens zwei Magneten besteht [3]
Die Anzahl an Personen, welche jährlich das Krankenhaus wegen einer solchen problematischen Fremdkörperingestion aufsuchen, hat in den letzten 20 Jahren deutlich zugenommen. Besonders angestiegen sind diese Zahlen bei Kindern im Alter von sechs Monaten bis sechs Jahren. Eine Häufigkeitszunahme gab es vor allem bei der Ingestion von Magneten und Knopf-Batterien. Diese sind besonders problematisch, da sie zu einer Nekrose oder einer Darmperforation führen können, wenn sie nicht rechtzeitig behandelt wird.[4] Knapp 70% der in Spitälern registrierten Fälle bedurften eines chirurgischen Eingriffs.[5] Die Lokalisierung der Fremdkörper wird mit der Hilfe von Röntgenaufnahmen und Computer-Tomographien durchgeführt.[3]

Erkennen von Fremdkörpern auf Röntgenaufnahmen

Ingestierte Objekte auf Röntgenaufnahmen zu erkennen kann schwierig sein. Viele Alltagsobjekte aus Holz, Kunststoff oder Aluminium, welche ein Kind verschluckt, sind nur sehr schlecht oder gar nicht erst auf Röntgenaufnahmen zu erkennen.[6] Um diffizil erkennbare Objekte doch entdecken zu können ist es ratsam, die Eltern oder die Betreuer des Patienten zu bitten, einen zum ingestierten Objekt vergleichbaren Gegenstand mitzubringen. So kann dieser ebenfalls geröntgt werden. Dieses Bild gilt für die Radiologinnen und Radiologen anschliessend als Referenz um den gesuchten Gegenstand im Röntgenbild zu finden.
Jedoch gibt es auch hierbei einige Einschränkungen. Schlecht erkennbare Gegenstände, wie zum Beispiel kleine Fischgräten oder Hühnerknochen, sind im Körper häufig zusätzlich durch dichte Organe, oder Knochen verdeckt und bleiben somit dem Auge vorenthalten.[7] Es kommt vor, dass ein Gegenstand auf dem Referenzbild gut erkennbar ist, beim Patienten auf den Röntgenaufnahmen jedoch nicht. Es gibt neben den klinischen Symptomen wie zum Beispiel starke Speichelbildung, Übelkeit, Schluckbeschwerden oder Atemnot sowohl direkte als auch indirekte Befunde im Röntgenbild, welche auf einen Fremdkörper hinweisen. Direkte Hinweise sind auf Röntgenbildern einfach ersichtliche, röntgendichte Objekte, wie zum Beispiel Münzen oder Batterien (Abbildung 2). Falls der Fremdkörper nicht röntgendicht ist, können indirekte Befunde wie zum Beispiel eine fokale Obstruktion einer Darmschlinge, eine Verlagerung vom Mediastinum oder die fehlende ‘Luftsäule’ in einem Bronchus auf einen nicht röntgendichten Fremdkörper hinweisen.

Indirekte Bildbefunde: Verirrte Möhre

Die Trachea endet in einer achsensymetrischen Gablung, die in die Pulmo dexter und Pulmo sinister übergeht. Sowohl die Trachea als auch die Lungenflügel und das Herz sind auf Röntgenbildern zu erkennen. Auf Abbildung 3a & 3b ist jedoch kein röntgendichter Fremdkörper zu finden. Die indirekten Bildbefunde deuten jedoch auf einen nicht-röntgendichten Fremdkörper im rechten Hauptbronchus hin. Bei der Inspiration sind das Herz und Mediastinum knapp rechts der Mittellinie; während der Exspiration verschieben sich die mediastinalen Strukturen deutlich nach links, mehr als üblicherweise gesehen wird. Das deutet auf ein ‘Airtrapping’ in der rechten Lunge hin, während die linke Lunge eine normale Variabilität der Belüftung bei Inspiration und Exspiration zeigt. Ein zusätzliches indirektes Zeichen eines Fremdkörpers ist das Fehlen der Luftsäule im rechten Hauptbronchus. Bei der Endoskopie wurde ein Teil einer Karotte im distalen, rechten Hauptbronchus gefunden. Diese Karotte hat zudem zu einem progressiven Airtrapping in der rechten Lunge geführt mit progredienter Atemnot. Die Karotte hat über einen ‘Ball-Valve’ Mechanismus bei jedem Atemzug Luft in der rechten Lunge passieren lassen, beim Ausatmen konnte die Luft jedoch nicht entweichen. Diese Situation hätte progressiv zu einer lebensbedrohlichen Situation führen können. Zeitgerechte Erkennung von indirekten Bildbefunden sind dementsprechend von eminenter Wichtigkeit.[8]

Ein genug grosses Blickfeld (Field of view)

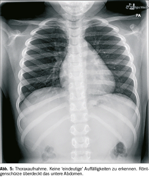
Eine weitere Erklärung für ein unauffindbares Objekt mag banal klingen, ist in der Praxis aber eine immer wieder auftretende Problematik: ein zu kleiner oder ungenügender Untersuchungsbereich. Oft kommt es vor, dass lediglich Aufnahmen des Thorax und des Pharynx gemacht werden. Das mag eventuell bei erst kürzlich ingestierten Fremdkörpern ausreichend sein, handelt es sich jedoch um eine Ingestion, welche einige Stunden oder sogar Tage zurückliegt [9], so befindet der Fremdkörper sich eventuell bereits im Abdomen. Auf Abbildung 5 ist kein deutlicher Fremdkörper zu finden. Die Erklärung dafür ist simpel. Der Fremdkörper ist bereits weiter distal im Magen-Darm-Trakt und auf der Thorax-Aufnahme nur von geübtem Auge knapp am unteren Bildrand zu erkennen. Zudem ist die Münze partiell von der Röntgenschürze abgedeckt. Verschiebt man die Abdeckung, welche über der Pelvis liegt, etwas nach unten, wie in Abbildung 5 geschehen, so wird eine Münze sichtbar. Dieser Fall illustriert eindeutig, dass bei Röntgenaufnahmen zur Lokalisierung von Fremdkörpern immer vom Rachen bis zum Anus untersucht werden sollte. Es ist dringend zu empfehlen eine Aufnahme des ganzen Thorax, des Pharynx, des Abdomenbereichs und der Pelvis zu machen. Eventuell ist auch noch eine seitliche Aufnahme des Thorax notwendig, um den Gegenstand zu erkennen. Ein Röntgenbild ist jedoch nicht bei jedem Gegenstand ausreichend. Bei auf Röntgenaufnahmen nicht erkennbaren Fremdkörpern, kann ein CT (Computed Tomography) aufschlussreich sein, da auf dem Querschnitt der zu untersuchenden Körperregion das Objekt besser erkannt werden kann.

Frequent Flyer

Wichtig zu beachten ist ebenfalls, das sogenannte «Frequent Flyer» Phänomen. Dieses besagt, dass wenn beim Patienten bereits ein Fremdkörper gefunden wurde, die Wahrscheinlichkeit eines Weiteren signifikant erhöht ist. Besonders bei Patienten mit Verhaltensstörungen oder Entwicklungsrückständen ist dies der Fall, da sie oftmals zuvor bereits einen Fremdkörper unbemerkt verschluckt hatten. Primär sind solche Fälle bei Magneten ein grosses Risiko. Patienten verschlucken selten einen einzelnen Magneten, im Schnitt sind es gleich 6-7. Nun besteht die Gefahr einer Darmperforation. Diese wird durch zwei oder mehr Magneten auf beiden Seiten von benachbarten Darmschlingen verursacht. Daraus kann eine Hypomotilität, eine funktionelle Obstruktion oder sogar eine fokale Drucknekrose resultieren. Wird eine Darmperforation nicht rechtzeitig behandelt, kann sie tödlich enden.[4] [10] Neben Magneten geht von ingestierten Batterien die grösste Gefahr aus. Es ist wichtig, dass jede Batterie so schnell wie möglich aus dem Körper entfernt wird. Verbleibt eine Batterie länger innerhalb des Magen-Darm-Traktes besteht die Gefahr, dass die Batterie anfängt «auszulaufen», wobei eine ätzende Substanz austreten kann, welche wiederum eine Verletzung / Entzündung der Schleimhäute, inklusive möglicher Perforation, zur Folge hat. Zusätzlich können Batterien zu Mediastinitis oder Peritonitis führen. Deshalb ist es wichtig, jede Batterie schnellstmöglich zu entfernen.
MD, PD, FICIS, FACR Thierry A.G.M. Huisman

Edward B. Singleton Department of Radiology
Texas Children’s Hospital and Baylor College of Medicine
6701 Fannin Street, Suite 470
Houston, TX 77030, USA
Fax: +1 832 825-0160

huisman@texaschildrens.org

Es bestehen keine Interessenskonflikte.

Historie
Manuskript eingereicht: 05.06.2023
Manuskript akzeptiert: 04.09.2023

 

Es gibt vier essenzielle Takeaways für die Diagnostik von ingestierten Fremdköpern:
1. Patienten um einen Referenzgegenstand bitten
2. Auch nach indirekten Hinweisen Ausschau halten
3. Von Rachen bis Anus röntgen, wenn nötig CT durchführen
4. «Frequent Flyer», wenn ein Fremdkörper gefunden wird, einen Zweiten ausschliessen
5. Batterien und Magnete können zu lebensbedrohlichen Komplikationen führen.

1. Litovitz T, Whitaker N, Clark L, White NC, Marsolek M. Emerging battery-ingestion hazard: Clinical implications. Pediatrics. 2010;125:1168-1177.
2. Ambe P, Weber SA, Schauer M, Knoefel WT. Swallowed foreign bodies in adults. Dtsch Arztebl Int. 2012;109(50):869-875.
3. Karsch-Völk, Marlies. Verschluckter Fremdkörper bei Kindern. München; Deximed 2020. https://deximed.de/home/klinische-themen/erste-hilfe-notfallmedizin/patienteninformationen/magen-darm-notfaelle/fremdkoerper-verschluckter-kind; letzter Zugriff: 16.01.2023
4. Strickland M, Rosenfield D, Fexteau A. Magnetic foreign body injuries: A large pediatric hospital experience. The Journal of Pediatrics. 2014;165(2):332-335.
5. De Roo AC, Thompson MC, Thiphalak C, Xiang H, Cowles N, Smith GA, et al. Rare-Earth Magnet Ingestion–Related Injuries Among Children, 2000-2012. Sage Journals. 2013;52(11).
6. Hunter TB, Taljanovic MS. Foreign Bodies. RadioGraphics. 2003;23(3).
7. Watanabe K, Kikuchi T, Katori Y, Fujiwara H, Sugita R, Takasaka T, et al. The usefulness of computed tomography in the diagnosis of impacted fish bones in the oesophagus. The Journal of Laryngology & Otology. 1998;112(4):360-364.
8. Kenneth J, Ng C. Foreign body airway obstruction causing a ball valve effect. JRSM Short Rep. 2013;4(6).
9. Hess, Jacqueline. Wenn Kinder Gegenstände verschlucken. Magdeburg; Universität Magdeburg 2018. https://www.med.uni-magdeburg.de/Patienten+_+Gäste/Ratgeber+Gesundheit/Orale+Fremdkörperaufnahme.html; letzter Zugriff: 16.01.2023
10. Centers for Disease Control and Prevention (CDC). National estimates of the 10 leading causes of nonfatal injuries treated in hospital emergency departments, United States. 2013.