Journal Watch von unseren Experten

DOAK-Monotherapie bei Vorhofflimmern und stabiler koronarer Herzkrankheit risikoärmer als duale antithrombotische Therapie Frage: Ist die Inzidenz unerwünschter Ereignisse bei einer Monotherapie mit Edoxaban niedriger als bei einer dualen…  

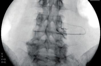
Interventionelle Schmerztherapie

Dr. med.Tim Reck, MSc
Interventionelle schmerztherapeutische Verfahren spielen heute sowohl in der Behandlung akuter wie zunehmend auch chronischer Schmerzen eine wichtige Rolle.  

Geniessen zwischen Arosa und Davos

Prof. Dr. med. dent. Christian E. Besimo
Diese Wanderung habe ich meiner Frau als Überraschung und zum Geniessen geschenkt. Was liegt da näher als das…  

Canagliflozin als Behandlungsoption

Prof. em. Dr. Dr. h.c. Walter F. Riesen
Canagliflozin wurde vom Leitlinienausschuss der «American Diabetes Association (ADA)» und der «European Association for the Study of Diabetes…  
1 139 140 141 142 143 149

E-Paper der
aktuellen Ausgabe lesen

E-Paper der aktuellen Ausgabe lesen

  • Pharmafocus
  • Neurologie Forum
  • Adipositas Forum
  • Kardiologie Forum
  • Fortbildung
  • Editorial
  • Journal Watch
  • Diabetes Sprechstunde
  • ORL Forum
  • Pneumologie Forum
  • Geriatrie Forum
  • Genetik Sprechstunde
  • Dermatologie Forum
  • Kongresse / Wissen Aktuell
  • Pharma-Sonderreport
  • Im Fokus Pharma & Diagnostik
  • RETO KRAPFs Medical Voice
  • Wandertipp